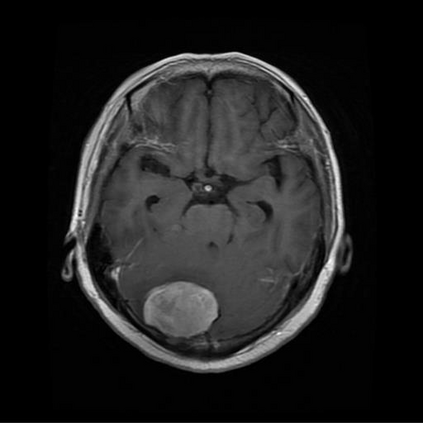
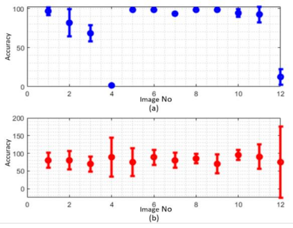
Deep learning algorithms have accounted for the rapid acceleration of research in artificial intelligence in medical image analysis, interpretation, and segmentation with many potential applications across various sub disciplines in medicine. However, only limited number of research which investigates these application scenarios, are deployed into the clinical sector for the evaluation of the real requirement and the practical challenges of the model deployment. In this research, a deep convolutional neural network (CNN) based classification network and Faster RCNN based localization network were developed for brain tumor MR image classification and tumor localization. A typical edge detection algorithm called Prewitt was used for tumor segmentation task, based on the output of the tumor localization. Overall performance of the proposed tumor segmentation architecture, was analyzed using objective quality parameters including Accuracy, Boundary Displacement Error (BDE), Dice score and confidence interval. A subjective quality assessment of the model was conducted based on the Double Stimulus Impairment Scale (DSIS) protocol using the input of medical expertise. It was observed that the confidence level of our segmented output was in a similar range to that of experts. Also, the Neurologists have rated the output of our model as highly accurate segmentation.


翻译:深层学习算法是医学图象分析、解释和分解方面人工智能研究迅速加速的原因,在医学各分学科中有许多潜在应用;然而,只有为数有限的研究调查了这些应用方案,用于临床部门评估模型部署的实际要求和实际挑战;在这项研究中,开发了以深入进化神经网络(CNN)为基础的分类网络和以快速RCNNN为基础的本地化网络,用于脑肿瘤MR图像分类和肿瘤本地化;根据肿瘤局部化的产出,使用称为Prewitt的典型边缘检测算法进行肿瘤分解工作;对拟议的肿瘤分解结构的总体性能进行了分析,使用了客观质量参数,包括准确性、边界偏移错误(BDE)、Dice分数和信任间隔;利用医学专门知识的投入,对模型进行了主观质量评估;注意到我们分解产值的信任度与专家相似。此外,神经学家将模型的输出值评级为高度精确分解。

0
下载
关闭预览

相关内容

Automator是苹果公司为他们的Mac OS X系统开发的一款软件。 只要通过点击拖拽鼠标等操作就可以将一系列动作组合成一个工作流,从而帮助你自动的(可重复的)完成一些复杂的工作。Automator还能横跨很多不同种类的程序,包括:查找器、Safari网络浏览器、iCal、地址簿或者其他的一些程序。它还能和一些第三方的程序一起工作,如微软的Office、Adobe公司的Photoshop或者Pixelmator等。
【干货书】真实机器学习,264页pdf,Real-World Machine Learning
机器学习入门的经验与建议
专知会员服务
94+阅读 · 2019年10月10日
Transferring Knowledge across Learning Processes
CreateAMind
29+阅读 · 2019年5月18日
Call for Participation: Shared Tasks in NLPCC 2019
中国计算机学会
5+阅读 · 2019年3月22日
TorchSeg:基于pytorch的语义分割算法开源了
极市平台
20+阅读 · 2019年1月28日
A Technical Overview of AI & ML in 2018 & Trends for 2019
待字闺中
18+阅读 · 2018年12月24日
Facebook PyText 在 Github 上开源了
AINLP
7+阅读 · 2018年12月14日
Hierarchical Imitation - Reinforcement Learning
CreateAMind
19+阅读 · 2018年5月25日
深度学习医学图像分析文献集
机器学习研究会
19+阅读 · 2017年10月13日
3D Deep Learning on Medical Images: A Review
Arxiv
13+阅读 · 2020年4月1日
Image Segmentation Using Deep Learning: A Survey
Arxiv
47+阅读 · 2020年1月15日
Deep learning for cardiac image segmentation: A review
Arxiv
21+阅读 · 2019年11月9日
VIP会员
相关VIP内容
【干货书】真实机器学习,264页pdf,Real-World Machine Learning
机器学习入门的经验与建议
专知会员服务
94+阅读 · 2019年10月10日
Top
微信扫码咨询专知VIP会员