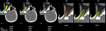
Automatic segmentation of anatomical structures is critical for many medical applications. However, the results are not always clinically acceptable and require tedious manual revision. Here, we present a novel concept called artificial intelligence assisted contour revision (AIACR) and demonstrate its feasibility. The proposed clinical workflow of AIACR is as follows given an initial contour that requires a clinicians revision, the clinician indicates where a large revision is needed, and a trained deep learning (DL) model takes this input to update the contour. This process repeats until a clinically acceptable contour is achieved. The DL model is designed to minimize the clinicians input at each iteration and to minimize the number of iterations needed to reach acceptance. In this proof-of-concept study, we demonstrated the concept on 2D axial images of three head-and-neck cancer datasets, with the clinicians input at each iteration being one mouse click on the desired location of the contour segment. The performance of the model is quantified with Dice Similarity Coefficient (DSC) and 95th percentile of Hausdorff Distance (HD95). The average DSC/HD95 (mm) of the auto-generated initial contours were 0.82/4.3, 0.73/5.6 and 0.67/11.4 for three datasets, which were improved to 0.91/2.1, 0.86/2.4 and 0.86/4.7 with three mouse clicks, respectively. Each DL-based contour update requires around 20 ms. We proposed a novel AIACR concept that uses DL models to assist clinicians in revising contours in an efficient and effective way, and we demonstrated its feasibility by using 2D axial CT images from three head-and-neck cancer datasets.


翻译:解剖结构的自动分解对于许多医疗应用来说至关重要。 但是, 其结果并不总是在临床上可以接受, 并且需要经过训练的深层次学习模式对更新轮廓至关重要。 这一过程在临床上并不总是可以接受, 并且需要经过精心修改。 在这里, 我们展示了一个名为人工智能辅助等深层修改( AIACR) 的新概念, 并展示了它的可行性。 在这项测试研究中, 我们展示了3个头部和颈部癌症数据集的2D轴轴图像的概念, 临床医生在每升一级需要做大量修改, 受过训练的深层学习模型( DL) 将这种输入用于更新轮廓。 这个过程将重复到临床可接受的等深层。 DL模型的功能被量化, 将每升2升为每升0. 8 4 的临床医生输入值输入2D.

0
下载
关闭预览

相关内容

【UAI2021教程】贝叶斯最优学习,65页ppt
专知会员服务
65+阅读 · 2021年8月7日
MIT-深度学习Deep Learning State of the Art in 2020,87页ppt
专知会员服务
62+阅读 · 2020年2月17日
【课程推荐】人工智能导论:Introduction to Articial Intelligence
专知会员服务
104+阅读 · 2019年12月20日
Keras François Chollet 《Deep Learning with Python 》, 386页pdf
专知会员服务
161+阅读 · 2019年10月12日
2019年机器学习框架回顾
专知会员服务
36+阅读 · 2019年10月11日
Transferring Knowledge across Learning Processes
CreateAMind
29+阅读 · 2019年5月18日
Call for Participation: Shared Tasks in NLPCC 2019
中国计算机学会
5+阅读 · 2019年3月22日
强化学习的Unsupervised Meta-Learning
CreateAMind
18+阅读 · 2019年1月7日
无监督元学习表示学习
CreateAMind
27+阅读 · 2019年1月4日
Unsupervised Learning via Meta-Learning
CreateAMind
43+阅读 · 2019年1月3日
A Technical Overview of AI & ML in 2018 & Trends for 2019
待字闺中
18+阅读 · 2018年12月24日
人工智能类 | 国际会议/SCI期刊专刊信息9条
Call4Papers
4+阅读 · 2018年7月10日
人工智能 | 国际会议截稿信息9条
Call4Papers
4+阅读 · 2018年3月13日
ResNet, AlexNet, VGG, Inception:各种卷积网络架构的理解
全球人工智能
20+阅读 · 2017年12月17日
【推荐】ResNet, AlexNet, VGG, Inception:各种卷积网络架构的理解
机器学习研究会
20+阅读 · 2017年12月17日
Arxiv
14+阅读 · 2021年3月10日
Learning in the Frequency Domain
Arxiv
11+阅读 · 2020年3月12日
The Measure of Intelligence
Arxiv
8+阅读 · 2019年11月5日
Arxiv
3+阅读 · 2018年9月12日
VIP会员
相关资讯
Transferring Knowledge across Learning Processes
CreateAMind
29+阅读 · 2019年5月18日
Call for Participation: Shared Tasks in NLPCC 2019
中国计算机学会
5+阅读 · 2019年3月22日
强化学习的Unsupervised Meta-Learning
CreateAMind
18+阅读 · 2019年1月7日
无监督元学习表示学习
CreateAMind
27+阅读 · 2019年1月4日
Unsupervised Learning via Meta-Learning
CreateAMind
43+阅读 · 2019年1月3日
A Technical Overview of AI & ML in 2018 & Trends for 2019
待字闺中
18+阅读 · 2018年12月24日
人工智能类 | 国际会议/SCI期刊专刊信息9条
Call4Papers
4+阅读 · 2018年7月10日
人工智能 | 国际会议截稿信息9条
Call4Papers
4+阅读 · 2018年3月13日
ResNet, AlexNet, VGG, Inception:各种卷积网络架构的理解
全球人工智能
20+阅读 · 2017年12月17日
【推荐】ResNet, AlexNet, VGG, Inception:各种卷积网络架构的理解
机器学习研究会
20+阅读 · 2017年12月17日
Top
微信扫码咨询专知VIP会员