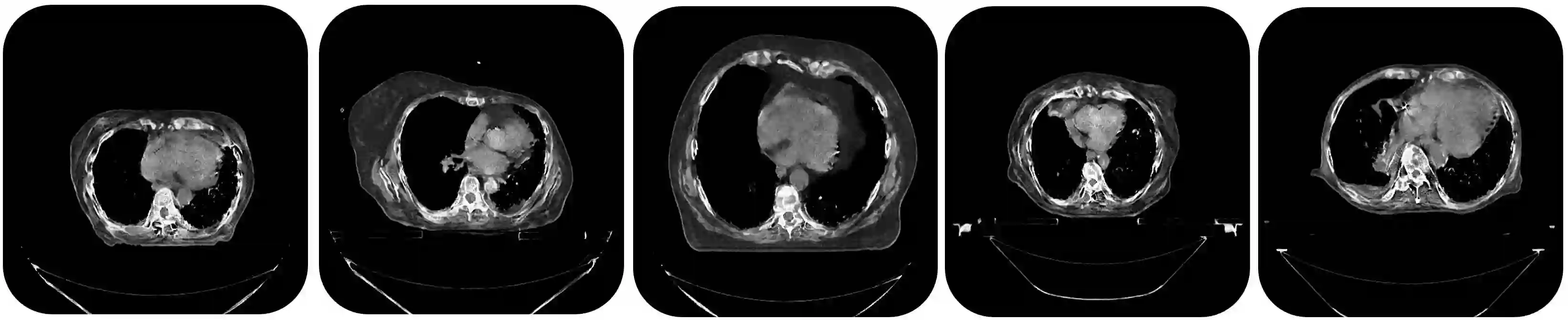
Deep learning has shown great promise for CT image reconstruction, in particular to enable low dose imaging and integrated diagnostics. These merits, however, stand at great odds with the low availability of diverse image data which are needed to train these neural networks. We propose to overcome this bottleneck via a deep reinforcement learning (DRL) approach that is integrated with a style-transfer (ST) methodology, where the DRL generates the anatomical shapes and the ST synthesizes the texture detail. We show that our method bears high promise for generating novel and anatomically accurate high resolution CT images at large and diverse quantities. Our approach is specifically designed to work with even small image datasets which is desirable given the often low amount of image data many researchers have available to them.


翻译:深层学习为CT图像重建,特别是低剂量成像和综合诊断提供了巨大希望,然而,这些优点与培训这些神经网络所需的各种图像数据很少大相径庭。我们提议通过深度强化学习(DRL)方法克服这一瓶颈,该方法与风格转换(ST)方法相结合,DRL生成解剖形状,ST合成纹理细节。我们表明,我们的方法对于产生大量、数量多样的新型和解剖学精确高分辨率的CT图像有着很高的希望。我们的方法专门设计为即使是小的图像数据集工作,这是可取的,因为许多研究人员为它们提供的图像数据往往很少。

0
下载
关闭预览

相关内容

Integration:Integration, the VLSI Journal。 Explanation:集成,VLSI杂志。 Publisher:Elsevier。 SIT:http://dblp.uni-trier.de/db/journals/integration/
Keras François Chollet 《Deep Learning with Python 》, 386页pdf
专知会员服务
161+阅读 · 2019年10月12日
逆强化学习-学习人先验的动机
CreateAMind
16+阅读 · 2019年1月18日
强化学习的Unsupervised Meta-Learning
CreateAMind
18+阅读 · 2019年1月7日
Unsupervised Learning via Meta-Learning
CreateAMind
43+阅读 · 2019年1月3日
Disentangled的假设的探讨
CreateAMind
9+阅读 · 2018年12月10日
Hierarchical Imitation - Reinforcement Learning
CreateAMind
19+阅读 · 2018年5月25日
Reinforcement Learning: An Introduction 2018第二版 500页
CreateAMind
14+阅读 · 2018年4月27日
Deep Reinforcement Learning 深度增强学习资源
数据挖掘入门与实战
7+阅读 · 2017年11月4日
Image Segmentation Using Deep Learning: A Survey
Arxiv
47+阅读 · 2020年1月15日
Deep learning for cardiac image segmentation: A review
Arxiv
21+阅读 · 2019年11月9日
Accelerated Methods for Deep Reinforcement Learning
Arxiv
6+阅读 · 2019年1月10日
Arxiv
5+阅读 · 2018年10月11日
VIP会员
相关VIP内容
Keras François Chollet 《Deep Learning with Python 》, 386页pdf
专知会员服务
161+阅读 · 2019年10月12日
相关资讯
逆强化学习-学习人先验的动机
CreateAMind
16+阅读 · 2019年1月18日
强化学习的Unsupervised Meta-Learning
CreateAMind
18+阅读 · 2019年1月7日
Unsupervised Learning via Meta-Learning
CreateAMind
43+阅读 · 2019年1月3日
Disentangled的假设的探讨
CreateAMind
9+阅读 · 2018年12月10日
Hierarchical Imitation - Reinforcement Learning
CreateAMind
19+阅读 · 2018年5月25日
Reinforcement Learning: An Introduction 2018第二版 500页
CreateAMind
14+阅读 · 2018年4月27日
Deep Reinforcement Learning 深度增强学习资源
数据挖掘入门与实战
7+阅读 · 2017年11月4日
Top
微信扫码咨询专知VIP会员