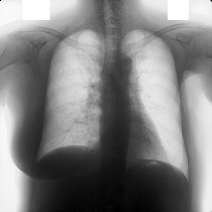
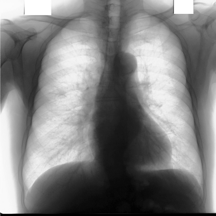
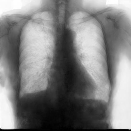
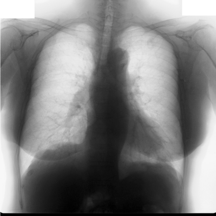
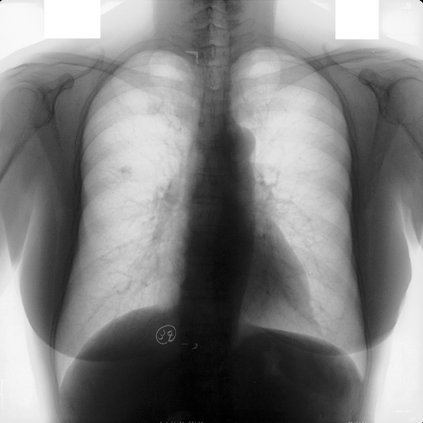
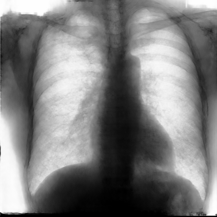
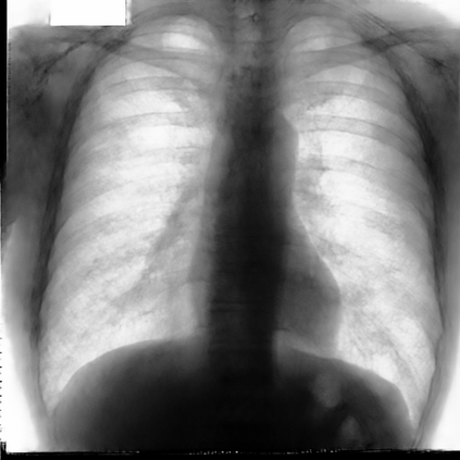
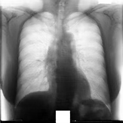
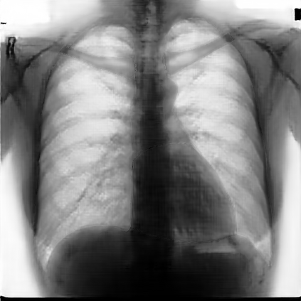
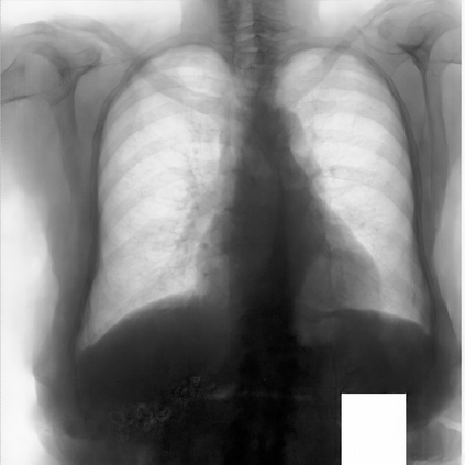
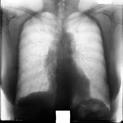
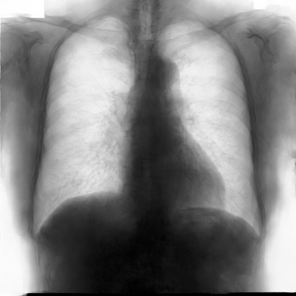
Multi-organ segmentation of X-ray images is of fundamental importance for computer aided diagnosis systems. However, the most advanced semantic segmentation methods rely on deep learning and require a huge amount of labeled images, which are rarely available due to both the high cost of human resources and the time required for labeling. In this paper, we present a novel multi-stage generation algorithm based on Generative Adversarial Networks (GANs) that can produce synthetic images along with their semantic labels and can be used for data augmentation. The main feature of the method is that, unlike other approaches, generation occurs in several stages, which simplifies the procedure and allows it to be used on very small datasets. The method has been evaluated on the segmentation of chest radiographic images, showing promising results. The multistage approach achieves state-of-the-art and, when very few images are used to train the GANs, outperforms the corresponding single-stage approach.


翻译:对计算机辅助诊断系统来说,X射线图像的多机分解具有根本重要性,但是,最先进的语义分解方法依赖于深层次的学习,需要大量的标签图像,而由于人力资源成本高,加上标签所需的时间,这些图像很少可用。在本文中,我们展示了一种新型的多阶段生成算法,这种算法以General Aversarial Networks(GANs)为基础,能够产生合成图像及其语义标签,并可用于数据增强。这种方法的主要特征是,与其他方法不同,生成发生在几个阶段,这简化了程序,并允许将其用于非常小的数据集。该方法已经对胸部放射图像的分解进行了评估,显示了有希望的结果。多阶段方法达到了最新水平,当很少使用图像来培训GANs时,就超越了相应的单阶段方法。

0
下载
关闭预览

相关内容

生成对抗网络GAN在各领域应用研究进展(中文版),37页pdf
专知会员服务
151+阅读 · 2020年12月30日
最新《生成式对抗网络》简介,25页ppt
专知会员服务
176+阅读 · 2020年6月28日
强化学习的Unsupervised Meta-Learning
CreateAMind
18+阅读 · 2019年1月7日
Unsupervised Learning via Meta-Learning
CreateAMind
43+阅读 · 2019年1月3日
条件GAN重大改进!cGANs with Projection Discriminator
CreateAMind
8+阅读 · 2018年2月7日
gan生成图像at 1024² 的 代码 论文
CreateAMind
4+阅读 · 2017年10月31日
Auto-Encoding GAN
CreateAMind
7+阅读 · 2017年8月4日
VIP会员
相关VIP内容
生成对抗网络GAN在各领域应用研究进展(中文版),37页pdf
专知会员服务
151+阅读 · 2020年12月30日
最新《生成式对抗网络》简介,25页ppt
专知会员服务
176+阅读 · 2020年6月28日
Top
微信扫码咨询专知VIP会员