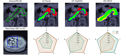
Manual segmentation of medical images (e.g., segmenting tumors in CT scans) is a high-effort task that can be accelerated with machine learning techniques. However, selecting the right segmentation approach depends on the evaluation function, particularly in medical image segmentation where we must deal with dependency between voxels. For instance, in contrast to classical systems where the predictions are either correct or incorrect, predictions in medical image segmentation may be partially correct and incorrect simultaneously. In this paper, we explore this expressiveness to extract the useful properties of these systems and formally define a novel multi-modal evaluation (MME) approach to measure the effectiveness of different segmentation methods. This approach improves the segmentation evaluation by introducing new relevant and interpretable characteristics, including detection property, boundary alignment, uniformity, total volume, and relative volume. Our proposed approach is open-source and publicly available for use. We have conducted several reproducible experiments, including the segmentation of pancreas, liver tumors, and multi-organs datasets, to show the applicability of the proposed approach.


翻译:人工分割医疗图象(如CT扫描中的肿瘤)是一项艰巨的任务,可以通过机器学习技术加速完成。但是,选择正确的分割法取决于评价功能,特别是在医学图象分割法中,我们必须处理 voxels 之间的依赖性。例如,与典型的系统相比,在预测正确或不正确的情况下,医学图象分割法中的预测可能部分正确,同时不正确。在本文中,我们探讨了这种明确性,以提取这些系统的有用特性,正式确定一种计量不同分割法有效性的新型多模式评价(MME)方法。这一方法通过引入新的相关和可解释特性,包括探测属性、边界对齐、统一性、总量和相对体积,改进了分割评价。我们提议的方法是开放的,可以公开使用。我们进行了若干次可复制的实验,包括板球、肝肿瘤和多机组数据集的分割,以显示拟议方法的可适用性。

1
下载
关闭预览

相关内容

图像分割就是把图像分成若干个特定的、具有独特性质的区域并提出感兴趣目标的技术和过程。它是由图像处理到图像分析的关键步骤。 所谓图像分割指的是根据灰度、颜色、纹理和形状等特征把图像划分成若干互不交迭的区域,并使这些特征在同一区域内呈现出相似性,而在不同区域间呈现出明显的差异性。

知识荟萃

精品入门和进阶教程、论文和代码整理等

更多

查看相关VIP内容、论文、资讯等
因果图,Causal Graphs,52页ppt
专知会员服务
253+阅读 · 2020年4月19日
强化学习最新教程,17页pdf
专知会员服务
182+阅读 · 2019年10月11日
【哈佛大学商学院课程Fall 2019】机器学习可解释性
专知会员服务
105+阅读 · 2019年10月9日
VCIP 2022 Call for Demos
CCF多媒体专委会
1+阅读 · 2022年6月6日
Hierarchically Structured Meta-learning
CreateAMind
27+阅读 · 2019年5月22日
Transferring Knowledge across Learning Processes
CreateAMind
29+阅读 · 2019年5月18日
强化学习的Unsupervised Meta-Learning
CreateAMind
18+阅读 · 2019年1月7日
Unsupervised Learning via Meta-Learning
CreateAMind
43+阅读 · 2019年1月3日
A Technical Overview of AI & ML in 2018 & Trends for 2019
待字闺中
18+阅读 · 2018年12月24日
【论文】变分推断(Variational inference)的总结
机器学习研究会
39+阅读 · 2017年11月16日
【论文】图上的表示学习综述
机器学习研究会
15+阅读 · 2017年9月24日
国家自然科学基金
0+阅读 · 2014年12月31日
国家自然科学基金
0+阅读 · 2013年12月31日
国家自然科学基金
1+阅读 · 2013年12月31日
国家自然科学基金
0+阅读 · 2012年12月31日
国家自然科学基金
0+阅读 · 2012年12月31日
国家自然科学基金
0+阅读 · 2012年12月31日
国家自然科学基金
0+阅读 · 2012年12月31日
国家自然科学基金
0+阅读 · 2011年12月31日
国家自然科学基金
0+阅读 · 2009年12月31日
Arxiv
17+阅读 · 2020年11月15日
W-net: Bridged U-net for 2D Medical Image Segmentation
Arxiv
20+阅读 · 2018年7月12日
VIP会员
相关资讯
VCIP 2022 Call for Demos
CCF多媒体专委会
1+阅读 · 2022年6月6日
Hierarchically Structured Meta-learning
CreateAMind
27+阅读 · 2019年5月22日
Transferring Knowledge across Learning Processes
CreateAMind
29+阅读 · 2019年5月18日
强化学习的Unsupervised Meta-Learning
CreateAMind
18+阅读 · 2019年1月7日
Unsupervised Learning via Meta-Learning
CreateAMind
43+阅读 · 2019年1月3日
A Technical Overview of AI & ML in 2018 & Trends for 2019
待字闺中
18+阅读 · 2018年12月24日
【论文】变分推断(Variational inference)的总结
机器学习研究会
39+阅读 · 2017年11月16日
【论文】图上的表示学习综述
机器学习研究会
15+阅读 · 2017年9月24日
相关基金
国家自然科学基金
0+阅读 · 2014年12月31日
国家自然科学基金
0+阅读 · 2013年12月31日
国家自然科学基金
1+阅读 · 2013年12月31日
国家自然科学基金
0+阅读 · 2012年12月31日
国家自然科学基金
0+阅读 · 2012年12月31日
国家自然科学基金
0+阅读 · 2012年12月31日
国家自然科学基金
0+阅读 · 2012年12月31日
国家自然科学基金
0+阅读 · 2011年12月31日
国家自然科学基金
0+阅读 · 2009年12月31日
Top
微信扫码咨询专知VIP会员