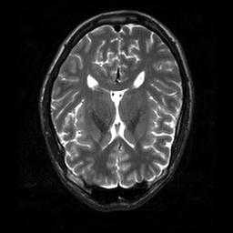
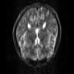
Reconstructing magnetic resonance (MR) images from undersampled data is a challenging problem due to various artifacts introduced by the under-sampling operation. Recent deep learning-based methods for MR image reconstruction usually leverage a generic auto-encoder architecture which captures low-level features at the initial layers and high?level features at the deeper layers. Such networks focus much on global features which may not be optimal to reconstruct the fully-sampled image. In this paper, we propose an Over-and-Under Complete Convolu?tional Recurrent Neural Network (OUCR), which consists of an overcomplete and an undercomplete Convolutional Recurrent Neural Network(CRNN). The overcomplete branch gives special attention in learning local structures by restraining the receptive field of the network. Combining it with the undercomplete branch leads to a network which focuses more on low-level features without losing out on the global structures. Extensive experiments on two datasets demonstrate that the proposed method achieves significant improvements over the compressed sensing and popular deep learning-based methods with less number of trainable parameters. Our code is available at https://github.com/guopengf/OUCR.


翻译:由于抽样不足的作业引进了各种文物,因此从未得到充分取样作业引入了各种手工艺品,重塑磁共振图像是一个具有挑战性的问题。最近为MR图像重建采用的深层学习方法通常会利用一种通用的自动编码结构,在初始层和深层层中捕捉低层次的特征?这种网络主要侧重于全球特征,而这些特征可能不是重建完整取样图像的最佳方法。在本文件中,我们提议建立一个超低全面挥发?经常神经网络(OUCR),它由过度和不完全的共振常态神经网络(CRNN)组成。过分的分支通过限制网络的可容纳场,在学习当地结构方面给予特别关注。将其与不完整分支结合起来,导致一个网络,在不失去全球结构的情况下,更多地侧重于低层次特征。对两个数据集进行广泛的实验表明,拟议的方法在压缩感测和广受欢迎的深层次学习方法方面,取得了显著的改进,培训参数较少。我们的代码可在 https://gimbubreb./comgg/trobex查阅。

0
下载
关闭预览

相关内容

专知会员服务
61+阅读 · 2020年3月19日
[综述]深度学习下的场景文本检测与识别
专知会员服务
78+阅读 · 2019年10月10日
Hierarchically Structured Meta-learning
CreateAMind
27+阅读 · 2019年5月22日
LibRec 精选:基于参数共享的CNN-RNN混合模型
LibRec智能推荐
6+阅读 · 2019年3月7日
逆强化学习-学习人先验的动机
CreateAMind
16+阅读 · 2019年1月18日
【推荐】RNN最新研究进展综述
机器学习研究会
26+阅读 · 2018年1月6日
【CNN】一文读懂卷积神经网络CNN
产业智能官
18+阅读 · 2018年1月2日
BranchOut: Regularization for Online Ensemble Tracking with CNN
统计学习与视觉计算组
9+阅读 · 2017年10月7日
可解释的CNN
CreateAMind
17+阅读 · 2017年10月5日
【推荐】图像分类必读开创性论文汇总
机器学习研究会
14+阅读 · 2017年8月15日
Auto-Encoding GAN
CreateAMind
7+阅读 · 2017年8月4日
CNN之卷积层
机器学习算法与Python学习
8+阅读 · 2017年7月2日
Arxiv
0+阅读 · 2021年8月17日
Arxiv
0+阅读 · 2021年8月16日
Arxiv
5+阅读 · 2018年3月30日
VIP会员
相关VIP内容
专知会员服务
61+阅读 · 2020年3月19日
[综述]深度学习下的场景文本检测与识别
专知会员服务
78+阅读 · 2019年10月10日
相关资讯
Hierarchically Structured Meta-learning
CreateAMind
27+阅读 · 2019年5月22日
LibRec 精选:基于参数共享的CNN-RNN混合模型
LibRec智能推荐
6+阅读 · 2019年3月7日
逆强化学习-学习人先验的动机
CreateAMind
16+阅读 · 2019年1月18日
【推荐】RNN最新研究进展综述
机器学习研究会
26+阅读 · 2018年1月6日
【CNN】一文读懂卷积神经网络CNN
产业智能官
18+阅读 · 2018年1月2日
BranchOut: Regularization for Online Ensemble Tracking with CNN
统计学习与视觉计算组
9+阅读 · 2017年10月7日
可解释的CNN
CreateAMind
17+阅读 · 2017年10月5日
【推荐】图像分类必读开创性论文汇总
机器学习研究会
14+阅读 · 2017年8月15日
Auto-Encoding GAN
CreateAMind
7+阅读 · 2017年8月4日
CNN之卷积层
机器学习算法与Python学习
8+阅读 · 2017年7月2日
Top
微信扫码咨询专知VIP会员