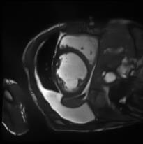
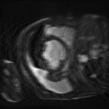
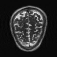
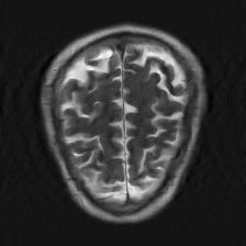
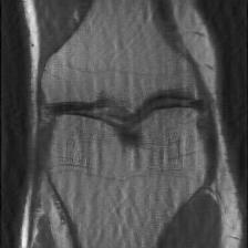
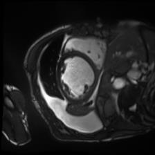
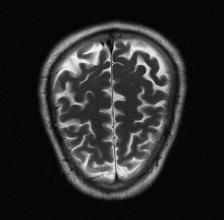
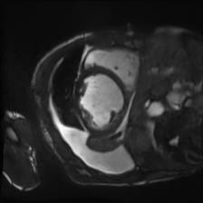
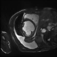
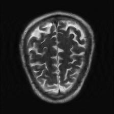
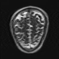
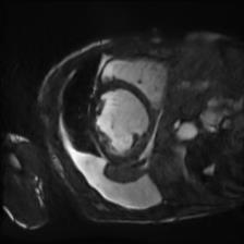
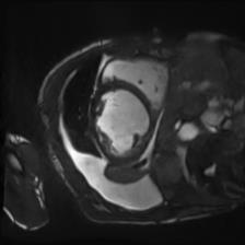
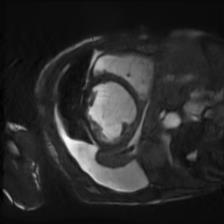
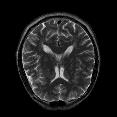
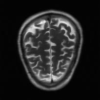
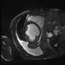
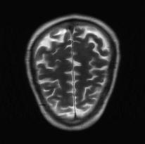
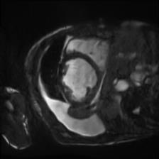
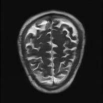
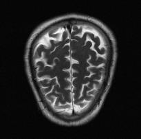
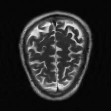
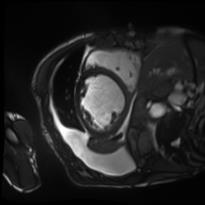
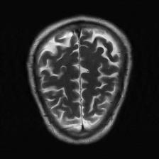
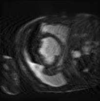
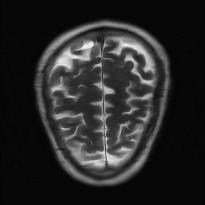
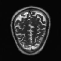
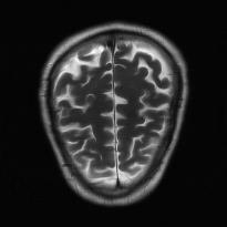
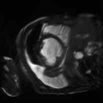
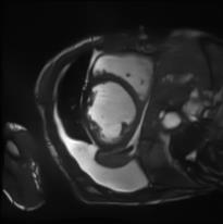
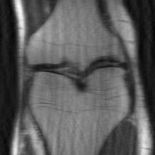
Recently, deep neural networks have greatly advanced undersampled Magnetic Resonance Image (MRI) reconstruction, wherein most studies follow the one-anatomy-one-network fashion, i.e., each expert network is trained and evaluated for a specific anatomy. Apart from inefficiency in training multiple independent models, such convention ignores the shared de-aliasing knowledge across various anatomies which can benefit each other. To explore the shared knowledge, one naive way is to combine all the data from various anatomies to train an all-round network. Unfortunately, despite the existence of the shared de-aliasing knowledge, we reveal that the exclusive knowledge across different anatomies can deteriorate specific reconstruction targets, yielding overall performance degradation. Observing this, in this study, we present a novel deep MRI reconstruction framework with both anatomy-shared and anatomy-specific parameterized learners, aiming to "seek common ground while reserving differences" across different anatomies.Particularly, the primary anatomy-shared learners are exposed to different anatomies to model flourishing shared knowledge, while the efficient anatomy-specific learners are trained with their target anatomy for exclusive knowledge. Four different implementations of anatomy-specific learners are presented and explored on the top of our framework in two MRI reconstruction networks. Comprehensive experiments on brain, knee and cardiac MRI datasets demonstrate that three of these learners are able to enhance reconstruction performance via multiple anatomy collaborative learning.


翻译:最近,深心神经网络大大推进了未经充分取样的磁共振成像(MRI)重建,其中大多数研究都遵循单一解剖一个网络的方式,即每个专家网络都经过特定解剖学的培训和评价。除了在培训多种独立模型方面效率低下之外,这种公约忽视了不同解剖学中共享的、可相互受益的解析知识。为了探索共享知识,一种天真的方法是将各解剖学家的所有数据结合起来,以训练一个全方位网络。不幸的是,尽管存在共享的解析知识,但我们发现,不同解剖学的独家知识可以恶化具体的重建目标,导致总体性能退化。在这项研究中,我们提出了一个新型的深度解剖重建框架,既有解剖学共享知识,又具有具体的解剖学参数,目的是“寻找共同的土壤,同时保留不同解剖学家之间的差异。此外,主要的解剖学学习者将接触不同的解剖学数据,通过多种解剖学重建的模型,并用不同的解剖学研究者将数据展示出一个全方位基础。

0
下载
关闭预览

相关内容

通过学习、实践或探索所获得的认识、判断或技能。
不可错过!《机器学习100讲》课程,UBC Mark Schmidt讲授
专知会员服务
76+阅读 · 2022年6月28日
Linux导论,Introduction to Linux,96页ppt
专知会员服务
82+阅读 · 2020年7月26日
100+篇《自监督学习(Self-Supervised Learning)》论文最新合集
专知会员服务
167+阅读 · 2020年3月18日
强化学习最新教程,17页pdf
专知会员服务
182+阅读 · 2019年10月11日
[综述]深度学习下的场景文本检测与识别
专知会员服务
78+阅读 · 2019年10月10日
【SIGGRAPH2019】TensorFlow 2.0深度学习计算机图形学应用
专知会员服务
41+阅读 · 2019年10月9日
VCIP 2022 Call for Demos
CCF多媒体专委会
1+阅读 · 2022年6月6日
IEEE ICKG 2022: Call for Papers
机器学习与推荐算法
3+阅读 · 2022年3月30日
ACM MM 2022 Call for Papers
CCF多媒体专委会
5+阅读 · 2022年3月29日
IEEE TII Call For Papers
CCF多媒体专委会
3+阅读 · 2022年3月24日
AIART 2022 Call for Papers
CCF多媒体专委会
1+阅读 · 2022年2月13日
Hierarchically Structured Meta-learning
CreateAMind
27+阅读 · 2019年5月22日
Transferring Knowledge across Learning Processes
CreateAMind
29+阅读 · 2019年5月18日
Unsupervised Learning via Meta-Learning
CreateAMind
43+阅读 · 2019年1月3日
A Technical Overview of AI & ML in 2018 & Trends for 2019
待字闺中
18+阅读 · 2018年12月24日
disentangled-representation-papers
CreateAMind
26+阅读 · 2018年9月12日
国家自然科学基金
0+阅读 · 2014年12月31日
国家自然科学基金
1+阅读 · 2014年12月31日
国家自然科学基金
0+阅读 · 2013年12月31日
国家自然科学基金
0+阅读 · 2012年12月31日
国家自然科学基金
0+阅读 · 2012年12月31日
国家自然科学基金
0+阅读 · 2011年12月31日
Arxiv
13+阅读 · 2019年4月9日
VIP会员
相关VIP内容
相关资讯
VCIP 2022 Call for Demos
CCF多媒体专委会
1+阅读 · 2022年6月6日
IEEE ICKG 2022: Call for Papers
机器学习与推荐算法
3+阅读 · 2022年3月30日
ACM MM 2022 Call for Papers
CCF多媒体专委会
5+阅读 · 2022年3月29日
IEEE TII Call For Papers
CCF多媒体专委会
3+阅读 · 2022年3月24日
AIART 2022 Call for Papers
CCF多媒体专委会
1+阅读 · 2022年2月13日
Hierarchically Structured Meta-learning
CreateAMind
27+阅读 · 2019年5月22日
Transferring Knowledge across Learning Processes
CreateAMind
29+阅读 · 2019年5月18日
Unsupervised Learning via Meta-Learning
CreateAMind
43+阅读 · 2019年1月3日
A Technical Overview of AI & ML in 2018 & Trends for 2019
待字闺中
18+阅读 · 2018年12月24日
disentangled-representation-papers
CreateAMind
26+阅读 · 2018年9月12日
相关基金
国家自然科学基金
0+阅读 · 2014年12月31日
国家自然科学基金
1+阅读 · 2014年12月31日
国家自然科学基金
0+阅读 · 2013年12月31日
国家自然科学基金
0+阅读 · 2012年12月31日
国家自然科学基金
0+阅读 · 2012年12月31日
国家自然科学基金
0+阅读 · 2011年12月31日
Top
微信扫码咨询专知VIP会员