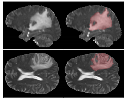
Deep learning motivated by convolutional neural networks has been highly successful in a range of medical imaging problems like image classification, image segmentation, image synthesis etc. However for validation and interpretability, not only do we need the predictions made by the model but also how confident it is while making those predictions. This is important in safety critical applications for the people to accept it. In this work, we used an encoder decoder architecture based on variational inference techniques for segmenting brain tumour images. We evaluate our work on the publicly available BRATS dataset using Dice Similarity Coefficient (DSC) and Intersection Over Union (IOU) as the evaluation metrics. Our model is able to segment brain tumours while taking into account both aleatoric uncertainty and epistemic uncertainty in a principled bayesian manner.


翻译:由进化神经网络推动的深思熟虑在一系列医学成像问题中非常成功,如图像分类、图像分割、图像合成等等。 然而,为了验证和解释,我们不仅需要模型的预测,而且需要这些预测时的自信。这对于安全关键应用非常重要,人们能够接受。在这项工作中,我们使用基于不同推断技术的编码解码器结构来分割脑肿瘤图像。我们用Dice相似系数(DSC)和Intercluction over Union(IOU)作为评估指标,评估了我们关于公开提供的BRATS数据集的工作。我们的模型能够分解脑肿瘤,同时以有原则的海湾方式考虑到疏远的不确定性和集中不确定性。

0
下载
关闭预览

相关内容

自动结构变分推理,Automatic structured variational inference
专知会员服务
41+阅读 · 2020年2月10日
【哈佛大学商学院课程Fall 2019】机器学习可解释性
专知会员服务
105+阅读 · 2019年10月9日
IEEE | DSC 2019诚邀稿件 (EI检索)
Call4Papers
10+阅读 · 2019年2月25日
A Technical Overview of AI & ML in 2018 & Trends for 2019
待字闺中
18+阅读 · 2018年12月24日
已删除
将门创投
7+阅读 · 2018年4月18日
【论文】变分推断(Variational inference)的总结
机器学习研究会
39+阅读 · 2017年11月16日
Capsule Networks解析
机器学习研究会
11+阅读 · 2017年11月12日
深度学习医学图像分析文献集
机器学习研究会
19+阅读 · 2017年10月13日
Auto-Encoding GAN
CreateAMind
7+阅读 · 2017年8月4日
VIP会员
相关VIP内容
自动结构变分推理,Automatic structured variational inference
专知会员服务
41+阅读 · 2020年2月10日
【哈佛大学商学院课程Fall 2019】机器学习可解释性
专知会员服务
105+阅读 · 2019年10月9日
相关资讯
IEEE | DSC 2019诚邀稿件 (EI检索)
Call4Papers
10+阅读 · 2019年2月25日
A Technical Overview of AI & ML in 2018 & Trends for 2019
待字闺中
18+阅读 · 2018年12月24日
已删除
将门创投
7+阅读 · 2018年4月18日
【论文】变分推断(Variational inference)的总结
机器学习研究会
39+阅读 · 2017年11月16日
Capsule Networks解析
机器学习研究会
11+阅读 · 2017年11月12日
深度学习医学图像分析文献集
机器学习研究会
19+阅读 · 2017年10月13日
Auto-Encoding GAN
CreateAMind
7+阅读 · 2017年8月4日
Top
微信扫码咨询专知VIP会员