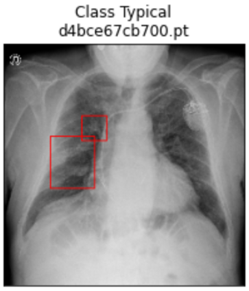
Deep learning technologies have already demonstrated a high potential to build diagnosis support systems from medical imaging data, such as Chest X-Ray images. However, the shortage of labeled data in the medical field represents one key obstacle to narrow down the performance gap with respect to applications in other image domains. In this work, we investigate the benefits of a curricular Self-Supervised Learning (SSL) pretraining scheme with respect to fully-supervised training regimes for pneumonia recognition on Chest X-Ray images of Covid-19 patients. We show that curricular SSL pretraining, which leverages unlabeled data, outperforms models trained from scratch, or pretrained on ImageNet, indicating the potential of performance gains by SSL pretraining on massive unlabeled datasets. Finally, we demonstrate that top-performing SSLpretrained models show a higher degree of attention in the lung regions, embodying models that may be more robust to possible external confounding factors in the training datasets, identified by previous works.


翻译:深层学习技术已经证明,从医疗成像数据(如Chest X-Ray图像)建立诊断支持系统的潜力很大,然而,医疗领域标签数据短缺是缩小其他图像应用领域性能差距的主要障碍之一。在这项工作中,我们调查了在Covid-19病人的胸X-Ray图像中完全监督的肺炎识别培训制度(SSL)课程自我监督学习(SSL)预培训计划的好处。我们显示,SLS课程预培训利用了无标签数据,超模了从刮伤中培训的模型,或预先在图像网络上培训,表明SSL在大规模无标签数据集上培训业绩收益的潜力。最后,我们证明,最优秀的SSL培训模式在肺部区域表现出了更高程度的注意力,体现了可能更强有力的模型,以适应培训数据集中可能存在的外部混杂因素,这些模型是以前的作品所查明的。

0
下载
关闭预览

相关内容

图像分类,顾名思义,是一个输入图像,输出对该图像内容分类的描述的问题。它是计算机视觉的核心,实际应用广泛。
零样本文本分类,Zero-Shot Learning for Text Classification
专知会员服务
97+阅读 · 2020年5月31日
100+篇《自监督学习(Self-Supervised Learning)》论文最新合集
专知会员服务
167+阅读 · 2020年3月18日
Keras François Chollet 《Deep Learning with Python 》, 386页pdf
专知会员服务
161+阅读 · 2019年10月12日
[综述]深度学习下的场景文本检测与识别
专知会员服务
78+阅读 · 2019年10月10日
【哈佛大学商学院课程Fall 2019】机器学习可解释性
专知会员服务
105+阅读 · 2019年10月9日
ACM TOMM Call for Papers
CCF多媒体专委会
2+阅读 · 2022年3月23日
AIART 2022 Call for Papers
CCF多媒体专委会
1+阅读 · 2022年2月13日
Hierarchically Structured Meta-learning
CreateAMind
27+阅读 · 2019年5月22日
Transferring Knowledge across Learning Processes
CreateAMind
29+阅读 · 2019年5月18日
深度自进化聚类:Deep Self-Evolution Clustering
我爱读PAMI
15+阅读 · 2019年4月13日
强化学习的Unsupervised Meta-Learning
CreateAMind
18+阅读 · 2019年1月7日
Unsupervised Learning via Meta-Learning
CreateAMind
43+阅读 · 2019年1月3日
A Technical Overview of AI & ML in 2018 & Trends for 2019
待字闺中
18+阅读 · 2018年12月24日
disentangled-representation-papers
CreateAMind
26+阅读 · 2018年9月12日
国家自然科学基金
1+阅读 · 2013年12月31日
国家自然科学基金
0+阅读 · 2011年12月31日
国家自然科学基金
0+阅读 · 2011年12月31日
Arxiv
0+阅读 · 2023年3月17日
Arxiv
10+阅读 · 2021年11月10日
Arxiv
12+阅读 · 2019年3月14日
A Survey on Deep Transfer Learning
Arxiv
11+阅读 · 2018年8月6日
VIP会员
相关资讯
ACM TOMM Call for Papers
CCF多媒体专委会
2+阅读 · 2022年3月23日
AIART 2022 Call for Papers
CCF多媒体专委会
1+阅读 · 2022年2月13日
Hierarchically Structured Meta-learning
CreateAMind
27+阅读 · 2019年5月22日
Transferring Knowledge across Learning Processes
CreateAMind
29+阅读 · 2019年5月18日
深度自进化聚类:Deep Self-Evolution Clustering
我爱读PAMI
15+阅读 · 2019年4月13日
强化学习的Unsupervised Meta-Learning
CreateAMind
18+阅读 · 2019年1月7日
Unsupervised Learning via Meta-Learning
CreateAMind
43+阅读 · 2019年1月3日
A Technical Overview of AI & ML in 2018 & Trends for 2019
待字闺中
18+阅读 · 2018年12月24日
disentangled-representation-papers
CreateAMind
26+阅读 · 2018年9月12日
相关基金
国家自然科学基金
1+阅读 · 2013年12月31日
国家自然科学基金
0+阅读 · 2011年12月31日
国家自然科学基金
0+阅读 · 2011年12月31日
Top
微信扫码咨询专知VIP会员