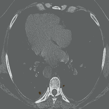
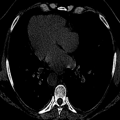
The novel coronavirus disease 2019 (COVID-19) has been spreading rapidly around the world and caused significant impact on the public health and economy. However, there is still lack of studies on effectively quantifying the lung infection caused by COVID-19. As a basic but challenging task of the diagnostic framework, segmentation plays a crucial role in accurate quantification of COVID-19 infection measured by computed tomography (CT) images. To this end, we proposed a novel deep learning algorithm for automated segmentation of multiple COVID-19 infection regions. Specifically, we use the Aggregated Residual Transformations to learn a robust and expressive feature representation and apply the soft attention mechanism to improve the capability of the model to distinguish a variety of symptoms of the COVID-19. With a public CT image dataset, we validate the efficacy of the proposed algorithm in comparison with other competing methods. Experimental results demonstrate the outstanding performance of our algorithm for automated segmentation of COVID-19 Chest CT images. Our study provides a promising deep leaning-based segmentation tool to lay a foundation to quantitative diagnosis of COVID-19 lung infection in CT images.


翻译:2019年新的冠状病毒疾病(COVID-19)在全世界迅速蔓延,对公共卫生和经济产生了重大影响;然而,对于有效量化COVID-19造成的肺感染,仍然缺乏研究;作为诊断框架的一项基本但具有挑战性的任务,分解在通过计算断层摄影(CT)图像测量的COVID-19感染的准确量化方面发挥着关键作用;为此,我们提出了对多个COVID-19感染区域进行自动分解的新型深层次学习算法。具体地说,我们利用综合残余变异学来学习一种稳健和直观的特征表征,并运用软关注机制来提高模型的能力,以区分COVID-19的症状。用公共CT图像数据集,我们验证了拟议的算法与其他相竞方法的功效。实验结果表明,我们自动分解COVID-19 Chest CT 图像的算法表现出色。我们的研究提供了一个充满希望的深度精细分解工具,为CT 图像中COVID-19肺感染的定量诊断奠定了基础。

0
下载
关闭预览

相关内容

Automator是苹果公司为他们的Mac OS X系统开发的一款软件。 只要通过点击拖拽鼠标等操作就可以将一系列动作组合成一个工作流,从而帮助你自动的(可重复的)完成一些复杂的工作。Automator还能横跨很多不同种类的程序,包括:查找器、Safari网络浏览器、iCal、地址簿或者其他的一些程序。它还能和一些第三方的程序一起工作,如微软的Office、Adobe公司的Photoshop或者Pixelmator等。
[综述]深度学习下的场景文本检测与识别
专知会员服务
78+阅读 · 2019年10月10日
VIP会员
Top
微信扫码咨询专知VIP会员