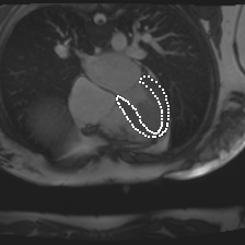
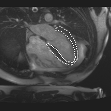
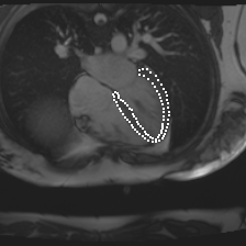
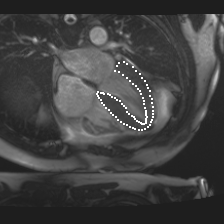
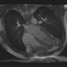
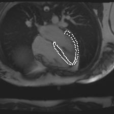
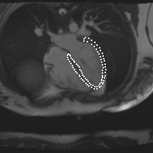
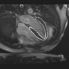
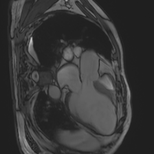
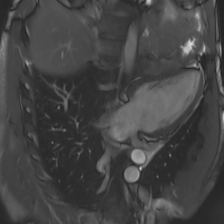
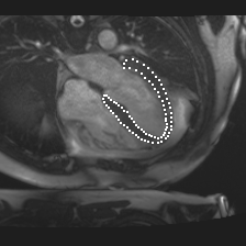
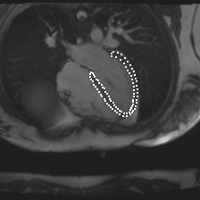
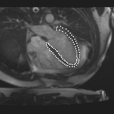
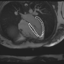
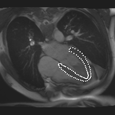
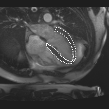
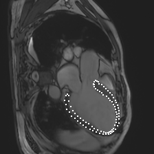
Accurate segmentation and motion estimation of myocardium have always been important in clinic field, which essentially contribute to the downstream diagnosis. However, existing methods cannot always guarantee the shape integrity for myocardium segmentation. In addition, motion estimation requires point correspondence on the myocardium region across different frames. In this paper, we propose a novel end-to-end deep statistic shape model to focus on myocardium segmentation with both shape integrity and boundary correspondence preserving. Specifically, myocardium shapes are represented by a fixed number of points, whose variations are extracted by Principal Component Analysis (PCA). Deep neural network is used to predict the transformation parameters (both affine and deformation), which are then used to warp the mean point cloud to the image domain. Furthermore, a differentiable rendering layer is introduced to incorporate mask supervision into the framework to learn more accurate point clouds. In this way, the proposed method is able to consistently produce anatomically reasonable segmentation mask without post processing. Additionally, the predicted point cloud guarantees boundary correspondence for sequential images, which contributes to the downstream tasks, such as the motion estimation of myocardium. We conduct several experiments to demonstrate the effectiveness of the proposed method on several benchmark datasets.


翻译:心肌梗塞的准确分解和运动估计在临床领域一直很重要,这在很大程度上有助于下游诊断。但是,现有方法并不总是能够保证心心肌部分的形状完整性。此外,运动估计需要不同框架对心肌区域进行点对点的对应。在本文中,我们提出一个新的端到端深度统计形状模型,侧重于心肌部分的分解,同时保持形状完整性和边界对应。具体地说,心肌形状的分解由固定的点数代表,其变异由主构件分析(PCA)提取。深神经网络用来预测变异参数(包括直角和变形),这些变异参数随后用于将中点云对图像区域进行扭动。此外,我们引入了一种不同的演化层,将遮罩监督纳入框架,以了解更准确的点云层。这样,拟议的方法能够持续产生解剖合理分解的遮罩,而无需后处理。此外,预测的点云能保证连续图像的边界对应,有助于下游任务,例如对几颗基度数据进行运动估计。我们进行了若干项实验。

0
下载
关闭预览

相关内容

开源书:PyTorch深度学习起步
专知会员服务
51+阅读 · 2019年10月11日
[综述]深度学习下的场景文本检测与识别
专知会员服务
78+阅读 · 2019年10月10日
机器学习入门的经验与建议
专知会员服务
94+阅读 · 2019年10月10日
【SIGGRAPH2019】TensorFlow 2.0深度学习计算机图形学应用
专知会员服务
41+阅读 · 2019年10月9日
AIART 2022 Call for Papers
CCF多媒体专委会
1+阅读 · 2022年2月13日
【ICIG2021】Latest News & Announcements of the Tutorial
中国图象图形学学会CSIG
3+阅读 · 2021年12月20日
【ICIG2021】Check out the hot new trailer of ICIG2021 Symposium4
中国图象图形学学会CSIG
0+阅读 · 2021年11月10日
【ICIG2021】Check out the hot new trailer of ICIG2021 Symposium3
中国图象图形学学会CSIG
0+阅读 · 2021年11月9日
【ICIG2021】Latest News & Announcements of the Plenary Talk1
中国图象图形学学会CSIG
0+阅读 · 2021年11月1日
Hierarchically Structured Meta-learning
CreateAMind
27+阅读 · 2019年5月22日
Transferring Knowledge across Learning Processes
CreateAMind
29+阅读 · 2019年5月18日
TorchSeg:基于pytorch的语义分割算法开源了
极市平台
20+阅读 · 2019年1月28日
Unsupervised Learning via Meta-Learning
CreateAMind
43+阅读 · 2019年1月3日
A Technical Overview of AI & ML in 2018 & Trends for 2019
待字闺中
18+阅读 · 2018年12月24日
国家自然科学基金
0+阅读 · 2015年12月31日
国家自然科学基金
0+阅读 · 2014年12月31日
国家自然科学基金
0+阅读 · 2012年12月31日
国家自然科学基金
0+阅读 · 2012年12月31日
国家自然科学基金
0+阅读 · 2009年12月31日
Arxiv
14+阅读 · 2021年3月10日
Deep learning for cardiac image segmentation: A review
Arxiv
21+阅读 · 2019年11月9日
VIP会员
相关资讯
AIART 2022 Call for Papers
CCF多媒体专委会
1+阅读 · 2022年2月13日
【ICIG2021】Latest News & Announcements of the Tutorial
中国图象图形学学会CSIG
3+阅读 · 2021年12月20日
【ICIG2021】Check out the hot new trailer of ICIG2021 Symposium4
中国图象图形学学会CSIG
0+阅读 · 2021年11月10日
【ICIG2021】Check out the hot new trailer of ICIG2021 Symposium3
中国图象图形学学会CSIG
0+阅读 · 2021年11月9日
【ICIG2021】Latest News & Announcements of the Plenary Talk1
中国图象图形学学会CSIG
0+阅读 · 2021年11月1日
Hierarchically Structured Meta-learning
CreateAMind
27+阅读 · 2019年5月22日
Transferring Knowledge across Learning Processes
CreateAMind
29+阅读 · 2019年5月18日
TorchSeg:基于pytorch的语义分割算法开源了
极市平台
20+阅读 · 2019年1月28日
Unsupervised Learning via Meta-Learning
CreateAMind
43+阅读 · 2019年1月3日
A Technical Overview of AI & ML in 2018 & Trends for 2019
待字闺中
18+阅读 · 2018年12月24日
相关基金
国家自然科学基金
0+阅读 · 2015年12月31日
国家自然科学基金
0+阅读 · 2014年12月31日
国家自然科学基金
0+阅读 · 2012年12月31日
国家自然科学基金
0+阅读 · 2012年12月31日
国家自然科学基金
0+阅读 · 2009年12月31日
Top
微信扫码咨询专知VIP会员