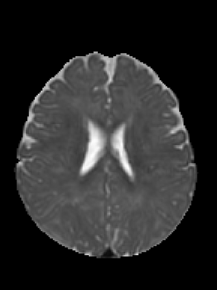
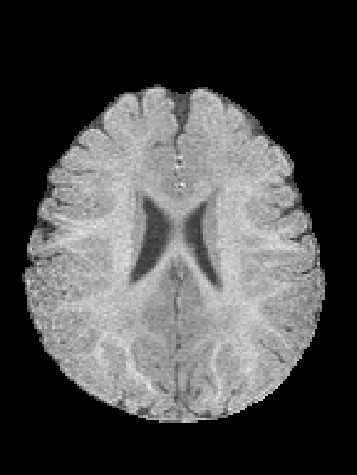
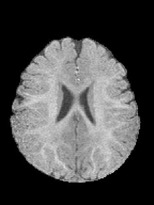
An important step in early brain development study is to perform automatic segmentation of infant brain magnetic resonance (MR) images into cerebrospinal fluid (CSF), gray matter (GM) and white matter (WM) regions. This task is especially challenging in the isointense stage (approximately 6-8 months of age) when GM and WM exhibit similar levels of intensities in MR images. Deep learning has shown its great promise in various image segmentation tasks. However, existing models do not have an efficient and effective way to aggregate global information. They also suffer from information loss during up-sampling operations. In this work, we address these problems by proposing a global aggregation block, which can be flexibly used for global information fusion. We build a novel model based on 3D U-Net to make fast and accurate voxel-wise dense prediction. We perform thorough experiments, and results indicate that our model outperforms previous best models significantly on 3D multimodality isointense infant brain MR image segmentation.


翻译:早期大脑发育研究的一个重要步骤是将婴儿脑磁共振图像自动分割成脑脊流、灰质和白质区域。当基因和脑共振成像在光成像图像中呈现类似强度时,这项任务在等温阶段(约6至8个月)特别具有挑战性。深层学习在各种图像分割任务中显示出了巨大的希望。然而,现有模型没有高效和有效的方式来汇总全球信息。在取样操作过程中,它们也遭受信息损失。在这项工作中,我们提出一个全球集合块来解决这些问题,这个块可以灵活地用于全球信息聚合。我们建立一个基于3D U-Net的新型模型,以快速和准确的对氧化素密度进行预测。我们进行了彻底的实验,结果显示,我们的模型在3D多式联运中,婴儿脑MR图像分割方面比以往的最佳模型大得多。

3
下载
关闭预览

相关内容

开源书:PyTorch深度学习起步
专知会员服务
51+阅读 · 2019年10月11日
Hierarchically Structured Meta-learning
CreateAMind
27+阅读 · 2019年5月22日
Unsupervised Learning via Meta-Learning
CreateAMind
43+阅读 · 2019年1月3日
meta learning 17年:MAML SNAIL
CreateAMind
11+阅读 · 2019年1月2日
Hierarchical Imitation - Reinforcement Learning
CreateAMind
19+阅读 · 2018年5月25日
【推荐】全卷积语义分割综述
机器学习研究会
19+阅读 · 2017年8月31日
最佳实践:深度学习用于自然语言处理(三)
待字闺中
3+阅读 · 2017年8月20日
Image Segmentation Using Deep Learning: A Survey
Arxiv
47+阅读 · 2020年1月15日
Arxiv
4+阅读 · 2018年6月1日
VIP会员
相关VIP内容
开源书:PyTorch深度学习起步
专知会员服务
51+阅读 · 2019年10月11日
Top
微信扫码咨询专知VIP会员