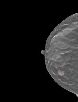
Accurately classifying malignancy of lesions detected in a screening scan plays a critical role in reducing false positives. Through extracting and analyzing a large numbers of quantitative image features, radiomics holds great potential to differentiate the malignant tumors from benign ones. Since not all radiomic features contribute to an effective classifying model, selecting an optimal feature subset is critical. This work proposes a new multi-objective based feature selection (MO-FS) algorithm that considers both sensitivity and specificity simultaneously as the objective functions during the feature selection. In MO-FS, we developed a modified entropy based termination criterion (METC) to stop the algorithm automatically rather than relying on a preset number of generations. We also designed a solution selection methodology for multi-objective learning using the evidential reasoning approach (SMOLER) to automatically select the optimal solution from the Pareto-optimal set. Furthermore, an adaptive mutation operation was developed to generate the mutation probability in MO-FS automatically. The MO-FS was evaluated for classifying lung nodule malignancy in low-dose CT and breast lesion malignancy in digital breast tomosynthesis. Compared with other commonly used feature selection methods, the experimental results for both lung nodule and breast lesion malignancy classification demonstrated that the feature set by selected MO-FS achieved better classification performance.


翻译:在筛选扫描中检测到的恶性肿瘤的精确分类在减少假阳性方面发挥着关键作用。通过提取和分析大量定量图像特征,放射学具有将恶性肿瘤与良性肿瘤区别开来的巨大潜力。由于并非所有放射学特征都有助于有效分类模型,因此选择一个最佳的子集至关重要。这项工作提出了一个新的基于多目标的特征选择算法,该算法同时考虑敏感性和特殊性作为特征选择期间的客观功能。在MO-FS中,我们开发了一个基于酶基终止标准(METC),以自动停止算法,而不是依赖预设的几代人。我们还设计了一个多种客观学习的解决方案选择方法,使用证据推理方法(SMOOLER)自动从Pareto-opimal集中选择最佳的解决方案。此外,还开发了一个适应性突变操作法,以自动产生MO-FS的突变概率。在低剂量CT和乳腺肿瘤恶性肿瘤上自动分类,而不是依赖预先设定的几代数代数。我们还设计了多种客观选择方法,以便通过实验性模型测定其他结果。

6
下载
关闭预览

相关内容

特征选择( Feature Selection )也称特征子集选择( Feature Subset Selection , FSS ),或属性选择( Attribute Selection )。是指从已有的M个特征(Feature)中选择N个特征使得系统的特定指标最优化,是从原始特征中选择出一些最有效特征以降低数据集维度的过程,是提高学习算法性能的一个重要手段,也是模式识别中关键的数据预处理步骤。对于一个学习算法来说,好的学习样本是训练模型的关键。
专知会员服务
61+阅读 · 2020年3月19日
Stabilizing Transformers for Reinforcement Learning
专知会员服务
60+阅读 · 2019年10月17日
强化学习最新教程,17页pdf
专知会员服务
182+阅读 · 2019年10月11日
Hierarchically Structured Meta-learning
CreateAMind
27+阅读 · 2019年5月22日
Transferring Knowledge across Learning Processes
CreateAMind
29+阅读 · 2019年5月18日
IEEE | DSC 2019诚邀稿件 (EI检索)
Call4Papers
10+阅读 · 2019年2月25日
强化学习的Unsupervised Meta-Learning
CreateAMind
18+阅读 · 2019年1月7日
Unsupervised Learning via Meta-Learning
CreateAMind
43+阅读 · 2019年1月3日
A Technical Overview of AI & ML in 2018 & Trends for 2019
待字闺中
18+阅读 · 2018年12月24日
Hierarchical Imitation - Reinforcement Learning
CreateAMind
19+阅读 · 2018年5月25日
Adversarial Variational Bayes: Unifying VAE and GAN 代码
CreateAMind
7+阅读 · 2017年10月4日
【论文】图上的表示学习综述
机器学习研究会
15+阅读 · 2017年9月24日
Arxiv
7+阅读 · 2020年3月1日
Arxiv
4+阅读 · 2019年12月2日
Learning to Weight for Text Classification
Arxiv
8+阅读 · 2019年3月28日
Arxiv
3+阅读 · 2017年10月1日
VIP会员
相关资讯
Hierarchically Structured Meta-learning
CreateAMind
27+阅读 · 2019年5月22日
Transferring Knowledge across Learning Processes
CreateAMind
29+阅读 · 2019年5月18日
IEEE | DSC 2019诚邀稿件 (EI检索)
Call4Papers
10+阅读 · 2019年2月25日
强化学习的Unsupervised Meta-Learning
CreateAMind
18+阅读 · 2019年1月7日
Unsupervised Learning via Meta-Learning
CreateAMind
43+阅读 · 2019年1月3日
A Technical Overview of AI & ML in 2018 & Trends for 2019
待字闺中
18+阅读 · 2018年12月24日
Hierarchical Imitation - Reinforcement Learning
CreateAMind
19+阅读 · 2018年5月25日
Adversarial Variational Bayes: Unifying VAE and GAN 代码
CreateAMind
7+阅读 · 2017年10月4日
【论文】图上的表示学习综述
机器学习研究会
15+阅读 · 2017年9月24日
Top
微信扫码咨询专知VIP会员