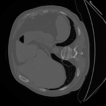
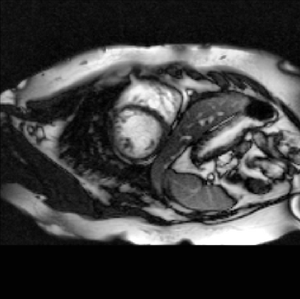
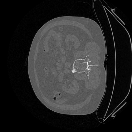
Deep Convolutional Neural Networks (DCNNs) are used extensively in medical image segmentation and hence 3D navigation for robot-assisted Minimally Invasive Surgeries (MISs). However, current DCNNs usually use down sampling layers for increasing the receptive field and gaining abstract semantic information. These down sampling layers decrease the spatial dimension of feature maps, which can be detrimental to image segmentation. Atrous convolution is an alternative for the down sampling layer. It increases the receptive field whilst maintains the spatial dimension of feature maps. In this paper, a method for effective atrous rate setting is proposed to achieve the largest and fully-covered receptive field with a minimum number of atrous convolutional layers. Furthermore, a new and full resolution DCNN - Atrous Convolutional Neural Network (ACNN), which incorporates cascaded atrous II-blocks, residual learning and Instance Normalization (IN). Application results of the proposed ACNN to Magnetic Resonance Imaging (MRI) and Computed Tomography (CT) image segmentation demonstrate that the proposed ACNN can achieve higher segmentation Intersection over Unions (IoUs) to U-Net and Deeplabv3+, but with significantly reduced trainable parameters.


翻译:深相神经网络(DCNN)广泛用于医疗图象分割,因此在机器人辅助的小型侵入性外科手术(MIS)中广泛使用3D导航。然而,目前的DCNN通常使用下层采样层来增加可接收场和获取抽象的语义信息。这些下层采样层会减少地貌图的空间维度,从而可能损害图像分割; 突变是下层取样层的替代物。它增加了可接收场,同时保持地貌图的空间维度。在本文中,提议了一种有效的速率设定方法,以达到最大和完全覆盖的可接收场,最小的熔化层。此外,一个新的和完整的分辨率DCNNNN(Annous)-突变神经网络(ACNN),它包含累进式二层区块、残余学习和场态正常化(IN)。拟议的ACNN(磁再共振成像)和兼容成形成像(CT)图像分割法显示,拟议的ACNN(N)可以实现更高、但可大幅缩小的内层间联。

1
下载
关闭预览

相关内容

图像分割就是把图像分成若干个特定的、具有独特性质的区域并提出感兴趣目标的技术和过程。它是由图像处理到图像分析的关键步骤。 所谓图像分割指的是根据灰度、颜色、纹理和形状等特征把图像划分成若干互不交迭的区域,并使这些特征在同一区域内呈现出相似性,而在不同区域间呈现出明显的差异性。

知识荟萃

精品入门和进阶教程、论文和代码整理等

更多

查看相关VIP内容、论文、资讯等
《DeepGCNs: Making GCNs Go as Deep as CNNs》
专知会员服务
31+阅读 · 2019年10月17日
[综述]深度学习下的场景文本检测与识别
专知会员服务
78+阅读 · 2019年10月10日
深度卷积神经网络中的降采样
极市平台
12+阅读 · 2019年5月24日
TorchSeg:基于pytorch的语义分割算法开源了
极市平台
20+阅读 · 2019年1月28日
【推荐】卷积神经网络类间不平衡问题系统研究
机器学习研究会
6+阅读 · 2017年10月18日
【推荐】全卷积语义分割综述
机器学习研究会
19+阅读 · 2017年8月31日
Arxiv
7+阅读 · 2018年12月10日
W-net: Bridged U-net for 2D Medical Image Segmentation
Arxiv
20+阅读 · 2018年7月12日
VIP会员
相关VIP内容
《DeepGCNs: Making GCNs Go as Deep as CNNs》
专知会员服务
31+阅读 · 2019年10月17日
[综述]深度学习下的场景文本检测与识别
专知会员服务
78+阅读 · 2019年10月10日
Top
微信扫码咨询专知VIP会员