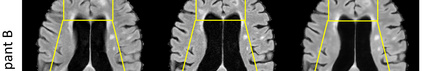
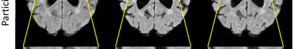
Multiple Sclerosis (MS) is a chronic progressive neurological disease characterized by the development of lesions in the white matter of the brain. T2-fluid-attenuated inversion recovery (FLAIR) brain magnetic resonance imaging (MRI) provides superior visualization and characterization of MS lesions, relative to other MRI modalities. Longitudinal brain FLAIR MRI in MS, involving repetitively imaging a patient over time, provides helpful information for clinicians towards monitoring disease progression. Predicting future whole brain MRI examinations with variable time lag has only been attempted in limited applications, such as healthy aging and structural degeneration in Alzheimer's Disease. In this article, we present novel modifications to deep learning architectures for MS FLAIR image synthesis, in order to support prediction of longitudinal images in a flexible continuous way. This is achieved with learned transposed convolutions, which support modelling time as a spatially distributed array with variable temporal properties at different spatial locations. Thus, this approach can theoretically model spatially-specific time-dependent brain development, supporting the modelling of more rapid growth at appropriate physical locations, such as the site of an MS brain lesion. This approach also supports the clinician user to define how far into the future a predicted examination should target. Accurate prediction of future rounds of imaging can inform clinicians of potentially poor patient outcomes, which may be able to contribute to earlier treatment and better prognoses. Four distinct deep learning architectures have been developed. The ISBI2015 longitudinal MS dataset was used to validate and compare our proposed approaches. Results demonstrate that a modified ACGAN achieves the best performance and reduces variability in model accuracy.


翻译:多重感应(MS)是一种慢性渐进性神经疾病,其特点是脑白质病变,其特点是脑部病变。 T2- fluid 慢变回(FLAIR) 脑磁共振成像(MRI) 与其他MRI模式相比,对 MS 病变(MRI) 提供优异的视觉化和定性。 MS 的纵向大脑FLAIR 磁共振仪(MRI) 与其他MRI模式相比,是一种高超感知和定性。 MS FLAIR 的纵向脑变异(MRI) 是一种慢性神经疾病变异(MS) 慢性神经变异(MSFLAIR) 神经变异(MS) 神经变异(MSFLAIR) 的基因变异变(MRI) 成(MRI), 与其他MRIM(P) 相异变异变变变异(S) 相(SLA) 支持时间可变异的模拟时间分布阵列) 。 因此, 预测性变异的大脑发育模型可以建模(SLIANS(IL) 的模型(ILIL) 快速变异(O) 定位(OILILILIL(O) AS(O) MAL(O) AS(O) MAL) AL(O(O) II) ) 的模型(O) ) 未来预测结果(O(O) (O) AL(O(O) ) (O) ) ) (OLILILO(O(S) ) ) ) (O) (O) ) (O) ) (S) (O) ) (O(O) ) ) (O(S) (O) (O) (O) (O) (O(O) (O) (O) (O) (O) (O) (O) (O) (O) (O) (O) (O) (O) (O) (O) (O) (O) (O) (O) (O) (O) (O) (O) (O) (O) (O) (O) (O) (O)

0
下载
关闭预览

相关内容

多媒体系统(MS)期刊详细介绍了多媒体计算,通信,存储和应用的各个方面的创新研究思想,新兴技术,最新方法和工具。它包含理论,实验和调查文章。多媒体系统的覆盖范围包括:在计算机系统中集成数字视频和音频功能;多媒体信息编码和数据交换格式;数字多媒体的操作系统机制;数字视频和音频网络与通信;存储模型和结构;用于支持多媒体应用程序的方法、范式、工具和软件体系结构;多媒体应用程序和应用程序接口,以及多媒体终端系统架构。 官网地址:http://dblp.uni-trier.de/db/journals/mms/
Keras François Chollet 《Deep Learning with Python 》, 386页pdf
专知会员服务
161+阅读 · 2019年10月12日
强化学习最新教程,17页pdf
专知会员服务
182+阅读 · 2019年10月11日
[综述]深度学习下的场景文本检测与识别
专知会员服务
78+阅读 · 2019年10月10日
【SIGGRAPH2019】TensorFlow 2.0深度学习计算机图形学应用
专知会员服务
41+阅读 · 2019年10月9日
VCIP 2022 Call for Special Session Proposals
CCF多媒体专委会
1+阅读 · 2022年4月1日
IEEE ICKG 2022: Call for Papers
机器学习与推荐算法
3+阅读 · 2022年3月30日
IEEE TII Call For Papers
CCF多媒体专委会
3+阅读 · 2022年3月24日
ACM TOMM Call for Papers
CCF多媒体专委会
2+阅读 · 2022年3月23日
AIART 2022 Call for Papers
CCF多媒体专委会
1+阅读 · 2022年2月13日
【ICIG2021】Check out the hot new trailer of ICIG2021 Symposium8
中国图象图形学学会CSIG
0+阅读 · 2021年11月16日
【ICIG2021】Check out the hot new trailer of ICIG2021 Symposium6
中国图象图形学学会CSIG
2+阅读 · 2021年11月12日
【ICIG2021】Check out the hot new trailer of ICIG2021 Symposium2
中国图象图形学学会CSIG
0+阅读 · 2021年11月8日
【ICIG2021】Check out the hot new trailer of ICIG2021 Symposium1
中国图象图形学学会CSIG
0+阅读 · 2021年11月3日
Hierarchically Structured Meta-learning
CreateAMind
27+阅读 · 2019年5月22日
国家自然科学基金
0+阅读 · 2015年12月31日
国家自然科学基金
1+阅读 · 2015年12月31日
国家自然科学基金
2+阅读 · 2015年12月31日
国家自然科学基金
0+阅读 · 2014年12月31日
国家自然科学基金
0+阅读 · 2014年12月31日
国家自然科学基金
0+阅读 · 2013年12月31日
国家自然科学基金
0+阅读 · 2013年12月31日
国家自然科学基金
1+阅读 · 2013年12月31日
国家自然科学基金
0+阅读 · 2009年12月31日
Arxiv
0+阅读 · 2022年10月19日
VIP会员
相关资讯
VCIP 2022 Call for Special Session Proposals
CCF多媒体专委会
1+阅读 · 2022年4月1日
IEEE ICKG 2022: Call for Papers
机器学习与推荐算法
3+阅读 · 2022年3月30日
IEEE TII Call For Papers
CCF多媒体专委会
3+阅读 · 2022年3月24日
ACM TOMM Call for Papers
CCF多媒体专委会
2+阅读 · 2022年3月23日
AIART 2022 Call for Papers
CCF多媒体专委会
1+阅读 · 2022年2月13日
【ICIG2021】Check out the hot new trailer of ICIG2021 Symposium8
中国图象图形学学会CSIG
0+阅读 · 2021年11月16日
【ICIG2021】Check out the hot new trailer of ICIG2021 Symposium6
中国图象图形学学会CSIG
2+阅读 · 2021年11月12日
【ICIG2021】Check out the hot new trailer of ICIG2021 Symposium2
中国图象图形学学会CSIG
0+阅读 · 2021年11月8日
【ICIG2021】Check out the hot new trailer of ICIG2021 Symposium1
中国图象图形学学会CSIG
0+阅读 · 2021年11月3日
Hierarchically Structured Meta-learning
CreateAMind
27+阅读 · 2019年5月22日
相关基金
国家自然科学基金
0+阅读 · 2015年12月31日
国家自然科学基金
1+阅读 · 2015年12月31日
国家自然科学基金
2+阅读 · 2015年12月31日
国家自然科学基金
0+阅读 · 2014年12月31日
国家自然科学基金
0+阅读 · 2014年12月31日
国家自然科学基金
0+阅读 · 2013年12月31日
国家自然科学基金
0+阅读 · 2013年12月31日
国家自然科学基金
1+阅读 · 2013年12月31日
国家自然科学基金
0+阅读 · 2009年12月31日
Top
微信扫码咨询专知VIP会员