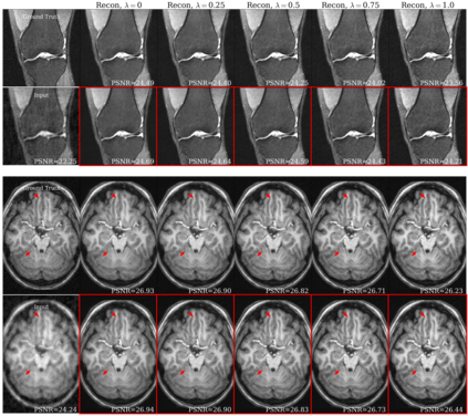
Deep learning based techniques achieve state-of-the-art results in a wide range of image reconstruction tasks like compressed sensing. These methods almost always have hyperparameters, such as the weight coefficients that balance the different terms in the optimized loss function. The typical approach is to train the model for a hyperparameter setting determined with some empirical or theoretical justification. Thus, at inference time, the model can only compute reconstructions corresponding to the pre-determined hyperparameter values. In this work, we present a hypernetwork based approach, called HyperRecon, to train reconstruction models that are agnostic to hyperparameter settings. At inference time, HyperRecon can efficiently produce diverse reconstructions, which would each correspond to different hyperparameter values. In this framework, the user is empowered to select the most useful output(s) based on their own judgement. We demonstrate our method in compressed sensing, super-resolution and denoising tasks, using two large-scale and publicly-available MRI datasets. Our code is available at https://github.com/alanqrwang/hyperrecon.


翻译:深层学习技术在压缩感测等广泛的图像重建任务中取得了最先进的成果。这些方法几乎总是有超参数,例如,在优化损失功能中平衡不同条件的重量系数。典型的方法是用一些经验或理论理由来训练超参数设置模型。因此,在推论时间,该模型只能计算与预先确定的超参数值相对应的重建情况。在这项工作中,我们提出了一个超网络方法,称为HyperRecon,用于培训对超参数设置具有敏感性的重建模型。在推论时间,HyperRecon可以有效地产生不同的重建情况,每个情况都与不同的超参数值相对应。在这个框架内,用户有权根据自己的判断选择最有用的产出。我们用两个大尺度和公开可用的MRISet来展示我们的压缩感测、超分辨率和去音量任务的方法。我们的代码可以在https://github.com/alanrwang/hyperrecon上查到。

0
下载
关闭预览

相关内容

在贝叶斯统计中,超参数是先验分布的参数; 该术语用于将它们与所分析的基础系统的模型参数区分开。
Linux导论,Introduction to Linux,96页ppt
专知会员服务
82+阅读 · 2020年7月26日
Keras François Chollet 《Deep Learning with Python 》, 386页pdf
专知会员服务
161+阅读 · 2019年10月12日
开源书:PyTorch深度学习起步
专知会员服务
51+阅读 · 2019年10月11日
强化学习最新教程,17页pdf
专知会员服务
182+阅读 · 2019年10月11日
[综述]深度学习下的场景文本检测与识别
专知会员服务
78+阅读 · 2019年10月10日
【SIGGRAPH2019】TensorFlow 2.0深度学习计算机图形学应用
专知会员服务
41+阅读 · 2019年10月9日
【ICIG2021】Latest News & Announcements of the Plenary Talk1
中国图象图形学学会CSIG
0+阅读 · 2021年11月1日
Hierarchically Structured Meta-learning
CreateAMind
27+阅读 · 2019年5月22日
ICLR2019最佳论文出炉
专知
12+阅读 · 2019年5月6日
深度自进化聚类:Deep Self-Evolution Clustering
我爱读PAMI
15+阅读 · 2019年4月13日
Unsupervised Learning via Meta-Learning
CreateAMind
43+阅读 · 2019年1月3日
A Technical Overview of AI & ML in 2018 & Trends for 2019
待字闺中
18+阅读 · 2018年12月24日
vae 相关论文 表示学习 1
CreateAMind
12+阅读 · 2018年9月6日
Hierarchical Imitation - Reinforcement Learning
CreateAMind
19+阅读 · 2018年5月25日
【论文】变分推断(Variational inference)的总结
机器学习研究会
39+阅读 · 2017年11月16日
国家自然科学基金
0+阅读 · 2013年12月31日
国家自然科学基金
0+阅读 · 2013年12月31日
国家自然科学基金
0+阅读 · 2013年12月31日
国家自然科学基金
0+阅读 · 2013年12月31日
国家自然科学基金
1+阅读 · 2012年12月31日
国家自然科学基金
0+阅读 · 2012年12月31日
国家自然科学基金
0+阅读 · 2009年12月31日
国家自然科学基金
1+阅读 · 2009年12月31日
Arxiv
0+阅读 · 2022年4月14日
VIP会员
相关资讯
【ICIG2021】Latest News & Announcements of the Plenary Talk1
中国图象图形学学会CSIG
0+阅读 · 2021年11月1日
Hierarchically Structured Meta-learning
CreateAMind
27+阅读 · 2019年5月22日
ICLR2019最佳论文出炉
专知
12+阅读 · 2019年5月6日
深度自进化聚类:Deep Self-Evolution Clustering
我爱读PAMI
15+阅读 · 2019年4月13日
Unsupervised Learning via Meta-Learning
CreateAMind
43+阅读 · 2019年1月3日
A Technical Overview of AI & ML in 2018 & Trends for 2019
待字闺中
18+阅读 · 2018年12月24日
vae 相关论文 表示学习 1
CreateAMind
12+阅读 · 2018年9月6日
Hierarchical Imitation - Reinforcement Learning
CreateAMind
19+阅读 · 2018年5月25日
【论文】变分推断(Variational inference)的总结
机器学习研究会
39+阅读 · 2017年11月16日
相关基金
国家自然科学基金
0+阅读 · 2013年12月31日
国家自然科学基金
0+阅读 · 2013年12月31日
国家自然科学基金
0+阅读 · 2013年12月31日
国家自然科学基金
0+阅读 · 2013年12月31日
国家自然科学基金
1+阅读 · 2012年12月31日
国家自然科学基金
0+阅读 · 2012年12月31日
国家自然科学基金
0+阅读 · 2009年12月31日
国家自然科学基金
1+阅读 · 2009年12月31日
Top
微信扫码咨询专知VIP会员