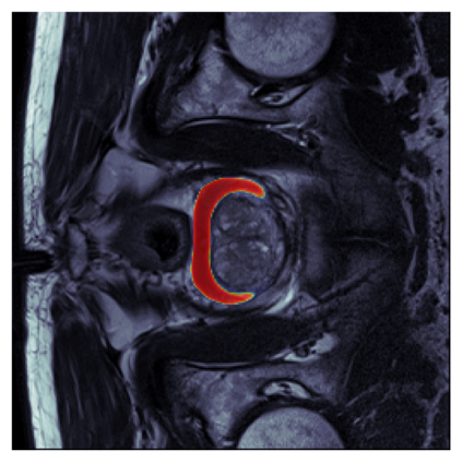
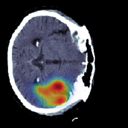
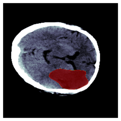
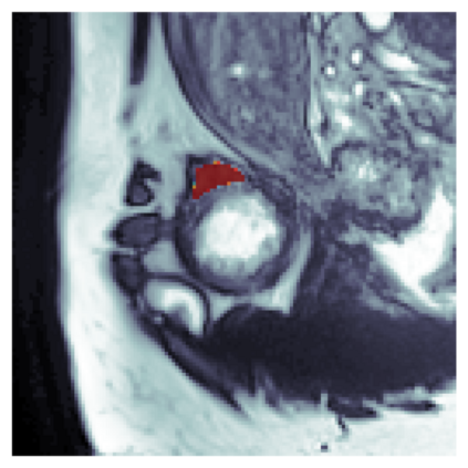
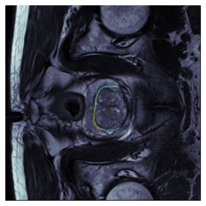
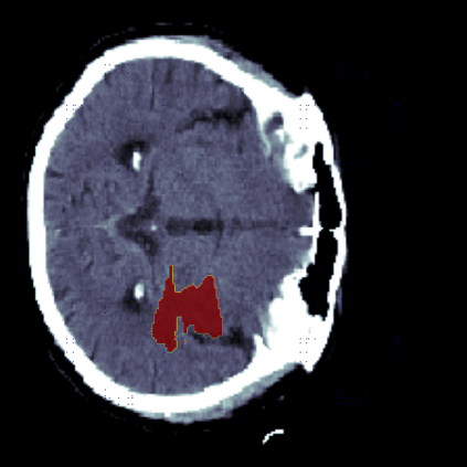
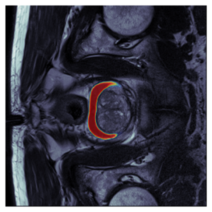
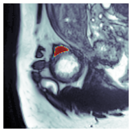
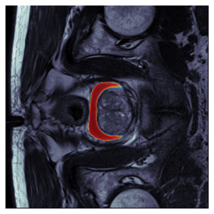
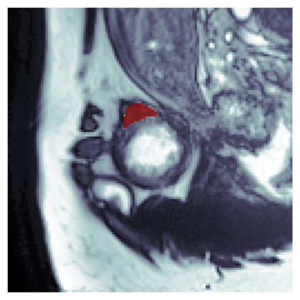
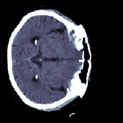
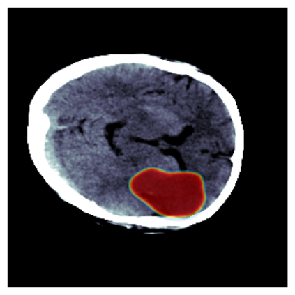
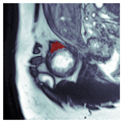
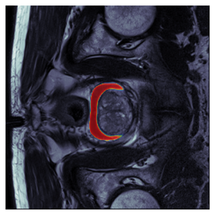
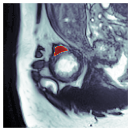
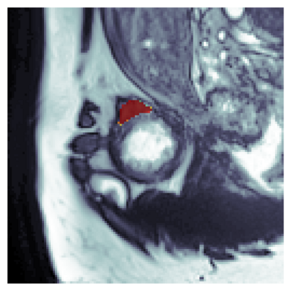
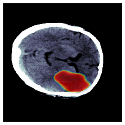
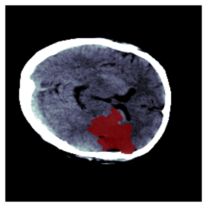
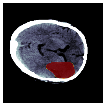
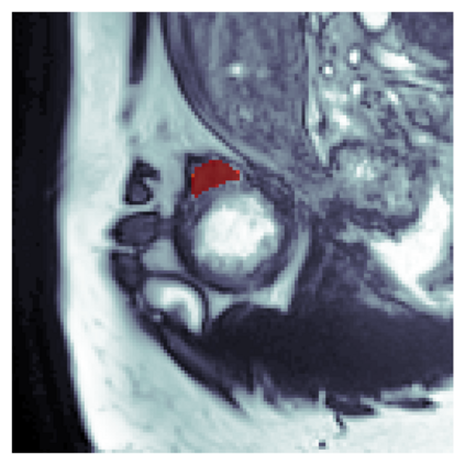
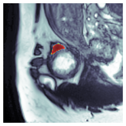
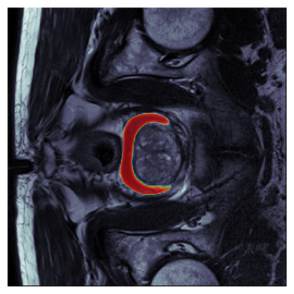
The sigmoid activation is the standard output activation function in binary classification and segmentation with neural networks. Still, there exist a variety of other potential output activation functions, which may lead to improved results in medical image segmentation. In this work, we consider how the asymptotic behavior of different output activation and loss functions affects the prediction probabilities and the corresponding segmentation errors. For cross entropy, we show that a faster rate of change of the activation function correlates with better predictions, while a slower rate of change can improve the calibration of probabilities. For dice loss, we found that the arctangent activation function is superior to the sigmoid function. Furthermore, we provide a test space for arbitrary output activation functions in the area of medical image segmentation. We tested seven activation functions in combination with three loss functions on four different medical image segmentation tasks to provide a classification of which function is best suited in this application scenario.


翻译:分子激活是神经网络二进制分类和分解中的标准输出激活功能。 尽管如此, 还有其他各种潜在的输出激活功能, 可能会改善医学图像分解的结果。 在这项工作中, 我们考虑不同输出激活和损失功能的无症状行为如何影响预测概率和相应的分解错误。 关于交叉昆虫, 我们显示, 激活功能的快速变化速度与更好的预测相关, 而更慢的改变速度可以改善概率的校准。 对于 dice 损失, 我们发现 弧度激活功能优于 sigmoid 函数。 此外, 我们为医学图像分解领域的任意输出激活功能提供了一个测试空间。 我们测试了四种不同的医学图像分解任务中的7个激活功能和3个损失函数, 以提供最适合此应用情景中函数的分类。

0
下载
关闭预览

相关内容

在人工神经网络中,给定一个输入或一组输入,节点的激活函数定义该节点的输出。一个标准集成电路可以看作是一个由激活函数组成的数字网络,根据输入的不同,激活函数可以是开(1)或关(0)。这类似于神经网络中的线性感知器的行为。然而,只有非线性激活函数允许这样的网络只使用少量的节点来计算重要问题,并且这样的激活函数被称为非线性。
专知会员服务
78+阅读 · 2021年9月27日
剑桥大学《数据科学: 原理与实践》课程,附PPT下载
专知会员服务
54+阅读 · 2021年1月20日
灾难性遗忘问题新视角:迁移-干扰平衡
CreateAMind
17+阅读 · 2019年7月6日
Hierarchically Structured Meta-learning
CreateAMind
27+阅读 · 2019年5月22日
弱监督语义分割最新方法资源列表
专知
9+阅读 · 2019年2月26日
逆强化学习-学习人先验的动机
CreateAMind
16+阅读 · 2019年1月18日
A Technical Overview of AI & ML in 2018 & Trends for 2019
待字闺中
18+阅读 · 2018年12月24日
综述:DenseNet—Dense卷积网络(图像分类)
专知
86+阅读 · 2018年11月26日
Hierarchical Disentangled Representations
CreateAMind
4+阅读 · 2018年4月15日
gan生成图像at 1024² 的 代码 论文
CreateAMind
4+阅读 · 2017年10月31日
最佳实践:深度学习用于自然语言处理(三)
待字闺中
3+阅读 · 2017年8月20日
On Feature Normalization and Data Augmentation
Arxiv
15+阅读 · 2020年2月25日
W-net: Bridged U-net for 2D Medical Image Segmentation
Arxiv
20+阅读 · 2018年7月12日
VIP会员
相关资讯
灾难性遗忘问题新视角:迁移-干扰平衡
CreateAMind
17+阅读 · 2019年7月6日
Hierarchically Structured Meta-learning
CreateAMind
27+阅读 · 2019年5月22日
弱监督语义分割最新方法资源列表
专知
9+阅读 · 2019年2月26日
逆强化学习-学习人先验的动机
CreateAMind
16+阅读 · 2019年1月18日
A Technical Overview of AI & ML in 2018 & Trends for 2019
待字闺中
18+阅读 · 2018年12月24日
综述:DenseNet—Dense卷积网络(图像分类)
专知
86+阅读 · 2018年11月26日
Hierarchical Disentangled Representations
CreateAMind
4+阅读 · 2018年4月15日
gan生成图像at 1024² 的 代码 论文
CreateAMind
4+阅读 · 2017年10月31日
最佳实践:深度学习用于自然语言处理(三)
待字闺中
3+阅读 · 2017年8月20日
Top
微信扫码咨询专知VIP会员