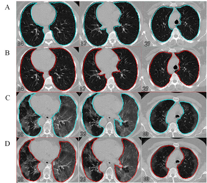
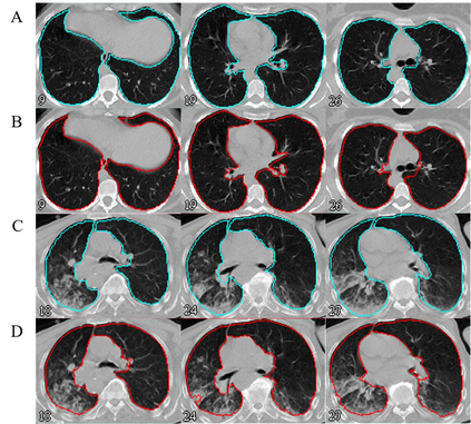
Automated semantic image segmentation is an essential step in quantitative image analysis and disease diagnosis. This study investigates the performance of a deep learning-based model for lung segmentation from CT images for normal and COVID-19 patients. Chest CT images and corresponding lung masks of 1200 confirmed COVID-19 cases were used for training a residual neural network. The reference lung masks were generated through semi-automated/manual segmentation of the CT images. The performance of the model was evaluated on two distinct external test datasets including 120 normal and COVID-19 subjects, and the results of these groups were compared to each other. Different evaluation metrics such as dice coefficient (DSC), mean absolute error (MAE), relative mean HU difference, and relative volume difference were calculated to assess the accuracy of the predicted lung masks. The proposed deep learning method achieved DSC of 0.980 and 0.971 for normal and COVID-19 subjects, respectively, demonstrating significant overlap between predicted and reference lung masks. Moreover, MAEs of 0.037 HU and 0.061 HU, relative mean HU difference of -2.679% and -4.403%, and relative volume difference of 2.405% and 5.928% were obtained for normal and COVID-19 subjects, respectively. The comparable performance in lung segmentation of the normal and COVID-19 patients indicates the accuracy of the model for the identification of the lung tissue in the presence of the COVID-19 induced infections (though slightly better performance was observed for normal patients). The promising results achieved by the proposed deep learning-based model demonstrated its reliability in COVID-19 lung segmentation. This prerequisite step would lead to a more efficient and robust pneumonia lesion analysis.


翻译:自动语义图象分解是定量图像分析和疾病诊断的一个重要步骤。本研究调查了正常病人和COVID-19病人的CT图像的肺部分解深学习模型的性能。使用了1200个确认的COVID-19病例的胸腔CT图像和相应的肺罩,用于培训残余神经网络。参考肺罩是通过CT图像半自动/人工分解生成的。该模型的性能在两个不同的外部测试数据集(包括120个普通和COVID-19科目)上进行了评估,并且对这些组别的结果进行了相互比较。不同的评估指标,例如:dice系数(DSC),平均值绝对差(MAE),相对平均HU值差异,以及相对体积差异,以评估预测的肺部面具的准确性能。拟议的深度学习方法分别达到0.980和0.971个正常和COVI-19科目的DS,表明预测和参考肺口罩之间有很大重叠。此外,基于0.037 HU和0.061 的MAE,这一正常值的温度值和正常值分析显示,正常值为5.9%和CO值部分的正常值(CO值部分)的正常值为0.49值的正常值和相对值为0.505,正常值的温度值值值的温度值为0.5。正常值的温度值为0.5,正常值值的数值和相对值值值值为0.5,正常值值值值值值值值值值值值值的数值值的数值的数值值的数值的数值的数值的数值的数值的数值的数值的数值和正值分析显示的数值和正值值值值值值值值值值值值值值值值的数值的数值的数值的数值分析显示分别为为0.4。

0
下载
关闭预览

相关内容

机器学习入门的经验与建议
专知会员服务
94+阅读 · 2019年10月10日
【TED】生命中的每一年的智慧
英语演讲视频每日一推
10+阅读 · 2019年1月29日
TorchSeg:基于pytorch的语义分割算法开源了
极市平台
20+阅读 · 2019年1月28日
Auto-Encoding GAN
CreateAMind
7+阅读 · 2017年8月4日
VIP会员
相关资讯
Top
微信扫码咨询专知VIP会员