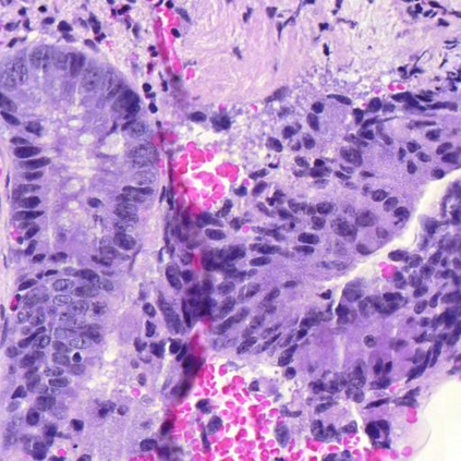
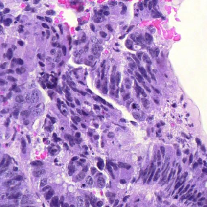
Classical multiple instance learning (MIL) methods are often based on the identical and independent distributed assumption between instances, hence neglecting the potentially rich contextual information beyond individual entities. On the other hand, Transformers with global self-attention modules have been proposed to model the interdependencies among all instances. However, in this paper we question: Is global relation modeling using self-attention necessary, or can we appropriately restrict self-attention calculations to local regimes in large-scale whole slide images (WSIs)? We propose a general-purpose local attention graph-based Transformer for MIL (LA-MIL), introducing an inductive bias by explicitly contextualizing instances in adaptive local regimes of arbitrary size. Additionally, an efficiently adapted loss function enables our approach to learn expressive WSI embeddings for the joint analysis of multiple biomarkers. We demonstrate that LA-MIL achieves state-of-the-art results in mutation prediction for gastrointestinal cancer, outperforming existing models on important biomarkers such as microsatellite instability for colorectal cancer. This suggests that local self-attention sufficiently models dependencies on par with global modules. Our implementation will be published.


翻译:经典多实例学习(MIL)方法往往基于不同实例之间相同和独立分布的假设,从而忽略了个别实体之外的潜在丰富背景信息。另一方面,提出了具有全球自省模块的变异器,以模拟所有实例之间的相互依存性。然而,在本文件中,我们提出疑问:使用自省模式进行全球关系建模是否必要,或者我们能否适当地将自我关注计算限制在大规模整体幻灯片图像中的地方制度中?我们建议为MIL(LA-MIL)采用通用的当地注意图示变异器(LA-MIL),通过在任意大小的适应性地方制度中明确将各种情况背景化,引入一种诱导偏向性偏向性。此外,高效调整的损失功能使我们能够学习表达WSI嵌入的方法,用于对多个生物标志进行联合分析。我们证明LA-MIL在胃癌的突变预测中取得了最新的结果,超过了诸如彩色癌症微型卫星不稳定性等重要生物标志的现有模型。这将表明,当地自我保护模式充分依赖全球模块。

0
下载
关闭预览

相关内容

最新《Transformers模型》教程,64页ppt
专知会员服务
325+阅读 · 2020年11月26日
强化学习最新教程,17页pdf
专知会员服务
182+阅读 · 2019年10月11日
[综述]深度学习下的场景文本检测与识别
专知会员服务
78+阅读 · 2019年10月10日
VCIP 2022 Call for Special Session Proposals
CCF多媒体专委会
1+阅读 · 2022年4月1日
ACM MM 2022 Call for Papers
CCF多媒体专委会
5+阅读 · 2022年3月29日
IEEE TII Call For Papers
CCF多媒体专委会
3+阅读 · 2022年3月24日
ACM TOMM Call for Papers
CCF多媒体专委会
2+阅读 · 2022年3月23日
AIART 2022 Call for Papers
CCF多媒体专委会
1+阅读 · 2022年2月13日
Call for Nominations: 2022 Multimedia Prize Paper Award
CCF多媒体专委会
0+阅读 · 2022年2月12日
【ICIG2021】Latest News & Announcements of the Workshop
中国图象图形学学会CSIG
0+阅读 · 2021年12月20日
Hierarchically Structured Meta-learning
CreateAMind
27+阅读 · 2019年5月22日
Transferring Knowledge across Learning Processes
CreateAMind
29+阅读 · 2019年5月18日
Unsupervised Learning via Meta-Learning
CreateAMind
43+阅读 · 2019年1月3日
国家自然科学基金
1+阅读 · 2014年12月31日
国家自然科学基金
0+阅读 · 2014年12月31日
国家自然科学基金
0+阅读 · 2012年12月31日
国家自然科学基金
0+阅读 · 2012年12月31日
国家自然科学基金
0+阅读 · 2011年12月31日
国家自然科学基金
0+阅读 · 2009年12月31日
Arxiv
0+阅读 · 2022年7月4日
Arxiv
13+阅读 · 2019年11月14日
Arxiv
15+阅读 · 2018年4月5日
VIP会员
相关VIP内容
最新《Transformers模型》教程,64页ppt
专知会员服务
325+阅读 · 2020年11月26日
强化学习最新教程,17页pdf
专知会员服务
182+阅读 · 2019年10月11日
[综述]深度学习下的场景文本检测与识别
专知会员服务
78+阅读 · 2019年10月10日
相关资讯
VCIP 2022 Call for Special Session Proposals
CCF多媒体专委会
1+阅读 · 2022年4月1日
ACM MM 2022 Call for Papers
CCF多媒体专委会
5+阅读 · 2022年3月29日
IEEE TII Call For Papers
CCF多媒体专委会
3+阅读 · 2022年3月24日
ACM TOMM Call for Papers
CCF多媒体专委会
2+阅读 · 2022年3月23日
AIART 2022 Call for Papers
CCF多媒体专委会
1+阅读 · 2022年2月13日
Call for Nominations: 2022 Multimedia Prize Paper Award
CCF多媒体专委会
0+阅读 · 2022年2月12日
【ICIG2021】Latest News & Announcements of the Workshop
中国图象图形学学会CSIG
0+阅读 · 2021年12月20日
Hierarchically Structured Meta-learning
CreateAMind
27+阅读 · 2019年5月22日
Transferring Knowledge across Learning Processes
CreateAMind
29+阅读 · 2019年5月18日
Unsupervised Learning via Meta-Learning
CreateAMind
43+阅读 · 2019年1月3日
相关基金
国家自然科学基金
1+阅读 · 2014年12月31日
国家自然科学基金
0+阅读 · 2014年12月31日
国家自然科学基金
0+阅读 · 2012年12月31日
国家自然科学基金
0+阅读 · 2012年12月31日
国家自然科学基金
0+阅读 · 2011年12月31日
国家自然科学基金
0+阅读 · 2009年12月31日
Top
微信扫码咨询专知VIP会员