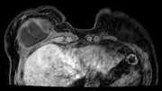
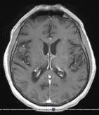
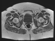
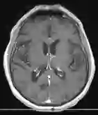
Standardized body region labelling of individual images provides data that can improve human and computer use of medical images. A CNN-based classifier was developed to identify body regions in CT and MRI. 17 CT (18 MRI) body regions covering the entire human body were defined for the classification task. Three retrospective databases were built for the AI model training, validation, and testing, with a balanced distribution of studies per body region. The test databases originated from a different healthcare network. Accuracy, recall and precision of the classifier was evaluated for patient age, patient gender, institution, scanner manufacturer, contrast, slice thickness, MRI sequence, and CT kernel. The data included a retrospective cohort of 2,934 anonymized CT cases (training: 1,804 studies, validation: 602 studies, test: 528 studies) and 3,185 anonymized MRI cases (training: 1,911 studies, validation: 636 studies, test: 638 studies). 27 institutions from primary care hospitals, community hospitals and imaging centers contributed to the test datasets. The data included cases of all genders in equal proportions and subjects aged from a few months old to +90 years old. An image-level prediction accuracy of 91.9% (90.2 - 92.1) for CT, and 94.2% (92.0 - 95.6) for MRI was achieved. The classification results were robust across all body regions and confounding factors. Due to limited data, performance results for subjects under 10 years-old could not be reliably evaluated. We show that deep learning models can classify CT and MRI images by body region including lower and upper extremities with high accuracy.


翻译:个人图像标准化体格标签提供了可以改进人体和计算机医疗图像使用的数据; 开发了一个CNN的分类器,以确定CT和MRI的人体区域; 为分类任务确定了覆盖整个人体的17个CT(18MRI)机构区域; 为AI模型培训、验证和测试建立了三个追溯数据库,每个机构区域的研究分布均衡; 测试数据库来自不同的保健网络; 对病人年龄、病人性别、机构、扫描机制造商、对比、切片厚度、MRI序列和CT内核的分类器进行了准确、回顾和精确性评价; 数据包括2 934个匿名CT案例的追溯组(培训:1 804项研究、验证:602项研究、测试:528项研究)和3 185个匿名MRI案例(培训:1 911项研究、验证:636项研究、测试:638项研究)。 初级护理医院、社区医院和成像中心27个机构对测试数据集进行了准确性评估; 数据包括:92%以上的性别比例和科目的追溯性案例; 95年的高级和90个高等级数据序列,显示为91至90区域。

0
下载
关闭预览

相关内容

CASES:International Conference on Compilers, Architectures, and Synthesis for Embedded Systems。 Explanation:嵌入式系统编译器、体系结构和综合国际会议。 Publisher:ACM。 SIT: http://dblp.uni-trier.de/db/conf/cases/index.html
Keras François Chollet 《Deep Learning with Python 》, 386页pdf
专知会员服务
161+阅读 · 2019年10月12日
2019年机器学习框架回顾
专知会员服务
36+阅读 · 2019年10月11日
[综述]深度学习下的场景文本检测与识别
专知会员服务
78+阅读 · 2019年10月10日
【论文笔记】通俗理解少样本文本分类 (Few-Shot Text Classification) (1)
深度学习自然语言处理
7+阅读 · 2020年4月8日
Hierarchically Structured Meta-learning
CreateAMind
27+阅读 · 2019年5月22日
Transferring Knowledge across Learning Processes
CreateAMind
29+阅读 · 2019年5月18日
无监督元学习表示学习
CreateAMind
27+阅读 · 2019年1月4日
Unsupervised Learning via Meta-Learning
CreateAMind
43+阅读 · 2019年1月3日
A Technical Overview of AI & ML in 2018 & Trends for 2019
待字闺中
18+阅读 · 2018年12月24日
【推荐】ResNet, AlexNet, VGG, Inception:各种卷积网络架构的理解
机器学习研究会
20+阅读 · 2017年12月17日
深度学习医学图像分析文献集
机器学习研究会
19+阅读 · 2017年10月13日
已删除
将门创投
7+阅读 · 2017年7月11日
Arxiv
15+阅读 · 2020年12月17日
A Survey on Bayesian Deep Learning
Arxiv
64+阅读 · 2020年7月2日
3D Deep Learning on Medical Images: A Review
Arxiv
13+阅读 · 2020年4月1日
Deep learning for cardiac image segmentation: A review
Arxiv
21+阅读 · 2019年11月9日
Deep Learning
Arxiv
6+阅读 · 2018年8月3日
VIP会员
相关资讯
【论文笔记】通俗理解少样本文本分类 (Few-Shot Text Classification) (1)
深度学习自然语言处理
7+阅读 · 2020年4月8日
Hierarchically Structured Meta-learning
CreateAMind
27+阅读 · 2019年5月22日
Transferring Knowledge across Learning Processes
CreateAMind
29+阅读 · 2019年5月18日
无监督元学习表示学习
CreateAMind
27+阅读 · 2019年1月4日
Unsupervised Learning via Meta-Learning
CreateAMind
43+阅读 · 2019年1月3日
A Technical Overview of AI & ML in 2018 & Trends for 2019
待字闺中
18+阅读 · 2018年12月24日
【推荐】ResNet, AlexNet, VGG, Inception:各种卷积网络架构的理解
机器学习研究会
20+阅读 · 2017年12月17日
深度学习医学图像分析文献集
机器学习研究会
19+阅读 · 2017年10月13日
已删除
将门创投
7+阅读 · 2017年7月11日
Top
微信扫码咨询专知VIP会员