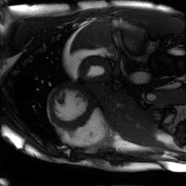
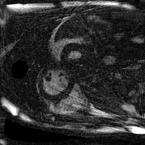
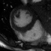
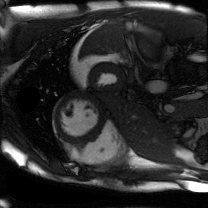
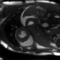
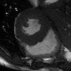
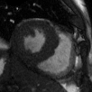
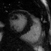
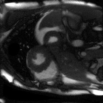
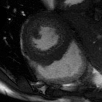
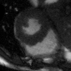
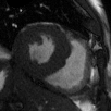
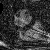
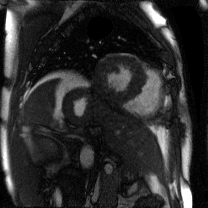
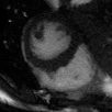
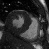
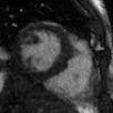
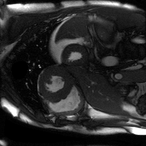
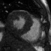
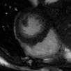
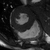
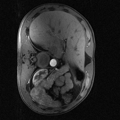
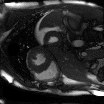
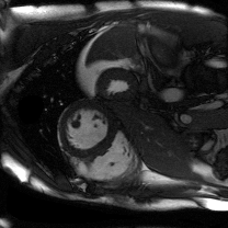
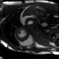
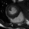
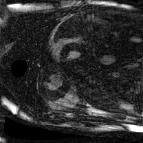
Supervised Deep-Learning (DL)-based reconstruction algorithms have shown state-of-the-art results for highly-undersampled dynamic Magnetic Resonance Imaging (MRI) reconstruction. However, the requirement of excessive high-quality ground-truth data hinders their applications due to the generalization problem. Recently, Implicit Neural Representation (INR) has appeared as a powerful DL-based tool for solving the inverse problem by characterizing the attributes of a signal as a continuous function of corresponding coordinates in an unsupervised manner. In this work, we proposed an INR-based method to improve dynamic MRI reconstruction from highly undersampled k-space data, which only takes spatiotemporal coordinates as inputs. Specifically, the proposed INR represents the dynamic MRI images as an implicit function and encodes them into neural networks. The weights of the network are learned from sparsely-acquired (k, t)-space data itself only, without external training datasets or prior images. Benefiting from the strong implicit continuity regularization of INR together with explicit regularization for low-rankness and sparsity, our proposed method outperforms the compared scan-specific methods at various acceleration factors. E.g., experiments on retrospective cardiac cine datasets show an improvement of 5.5 ~ 7.1 dB in PSNR for extremely high accelerations (up to 41.6-fold). The high-quality and inner continuity of the images provided by INR has great potential to further improve the spatiotemporal resolution of dynamic MRI, without the need of any training data.


翻译:在这项工作中,我们建议了一种基于IRI的方法,用这种方法来改进动态磁共振感应成像(MRI)重建,而该方法只是以高度低劣的 k-空间数据为基础,而该数据仅以磁共振坐标作为投入。具体地说,拟议的IRI将动态MRI图像作为一种隐含功能来表示,并将其编码到神经网络中。网络的权重仅从稀有的(k, t)空间数据本身中学习,而没有外部培训数据集或先前的图像。 利用基于IRI的强有力隐含性稳定化,同时不以清晰的动态和时空坐标坐标坐标坐标坐标作为投入。 拟议的IRIR将动态MRI图像作为一种隐含功能,将其编码到神经网络中。网络的权重仅从淡化的(k, t)空间数据本身学习,而没有外部培训数据集或先前的图像。

0
下载
关闭预览

相关内容

让 iOS 8 和 OS X Yosemite 无缝切换的一个新特性。 > Apple products have always been designed to work together beautifully. But now they may really surprise you. With iOS 8 and OS X Yosemite, you’ll be able to do more wonderful things than ever before.

Source: Apple - iOS 8
【干货书】机器学习速查手册,135页pdf
专知会员服务
127+阅读 · 2020年11月20日
100+篇《自监督学习(Self-Supervised Learning)》论文最新合集
专知会员服务
167+阅读 · 2020年3月18日
[综述]深度学习下的场景文本检测与识别
专知会员服务
78+阅读 · 2019年10月10日
【SIGGRAPH2019】TensorFlow 2.0深度学习计算机图形学应用
专知会员服务
41+阅读 · 2019年10月9日
Hierarchically Structured Meta-learning
CreateAMind
27+阅读 · 2019年5月22日
Transferring Knowledge across Learning Processes
CreateAMind
29+阅读 · 2019年5月18日
深度自进化聚类:Deep Self-Evolution Clustering
我爱读PAMI
15+阅读 · 2019年4月13日
强化学习的Unsupervised Meta-Learning
CreateAMind
18+阅读 · 2019年1月7日
无监督元学习表示学习
CreateAMind
27+阅读 · 2019年1月4日
Unsupervised Learning via Meta-Learning
CreateAMind
43+阅读 · 2019年1月3日
disentangled-representation-papers
CreateAMind
26+阅读 · 2018年9月12日
国家自然科学基金
2+阅读 · 2015年12月31日
国家自然科学基金
0+阅读 · 2014年12月31日
国家自然科学基金
0+阅读 · 2013年12月31日
国家自然科学基金
0+阅读 · 2013年12月31日
国家自然科学基金
1+阅读 · 2012年12月31日
国家自然科学基金
0+阅读 · 2012年12月31日
国家自然科学基金
0+阅读 · 2012年12月31日
国家自然科学基金
0+阅读 · 2011年12月31日
国家自然科学基金
0+阅读 · 2009年12月31日
国家自然科学基金
0+阅读 · 2009年12月31日
Arxiv
38+阅读 · 2020年3月10日
Learning Embedding Adaptation for Few-Shot Learning
Arxiv
17+阅读 · 2018年12月10日
Arxiv
15+阅读 · 2018年2月4日
VIP会员
相关基金
国家自然科学基金
2+阅读 · 2015年12月31日
国家自然科学基金
0+阅读 · 2014年12月31日
国家自然科学基金
0+阅读 · 2013年12月31日
国家自然科学基金
0+阅读 · 2013年12月31日
国家自然科学基金
1+阅读 · 2012年12月31日
国家自然科学基金
0+阅读 · 2012年12月31日
国家自然科学基金
0+阅读 · 2012年12月31日
国家自然科学基金
0+阅读 · 2011年12月31日
国家自然科学基金
0+阅读 · 2009年12月31日
国家自然科学基金
0+阅读 · 2009年12月31日
Top
微信扫码咨询专知VIP会员