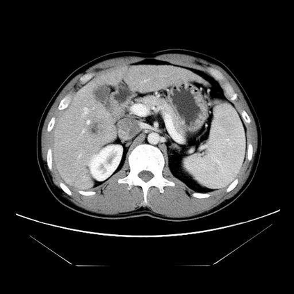
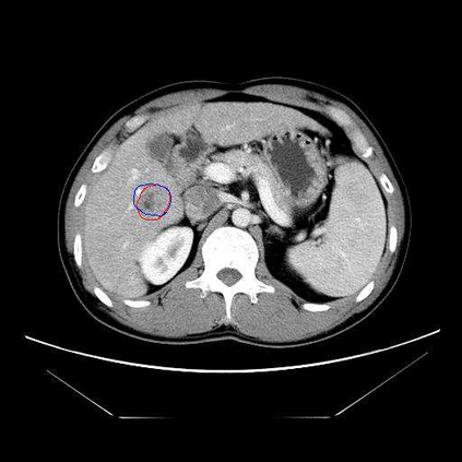
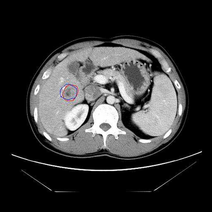
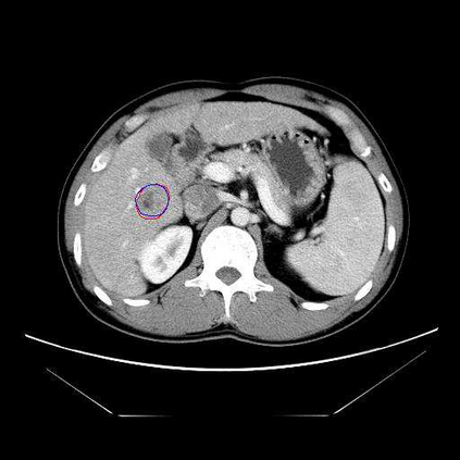
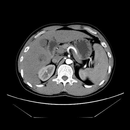
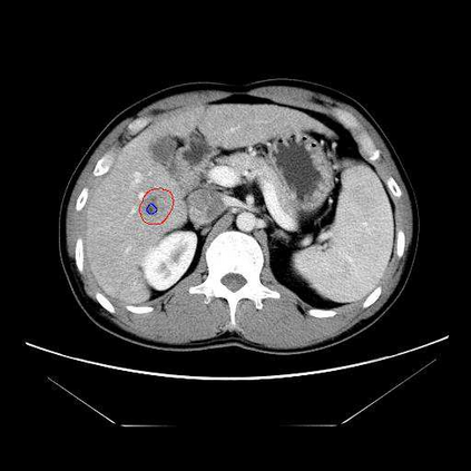
Multi-phase computed tomography (CT) images provide crucial complementary information for accurate liver tumor segmentation (LiTS). State-of-the-art multi-phase LiTS methods usually fused cross-phase features through phase-weighted summation or channel-attention based concatenation. However, these methods ignored the spatial (pixel-wise) relationships between different phases, hence leading to insufficient feature integration. In addition, the performance of existing methods remains subject to the uncertainty in segmentation, which is particularly acute in tumor boundary regions. In this work, we propose a novel LiTS method to adequately aggregate multi-phase information and refine uncertain region segmentation. To this end, we introduce a spatial aggregation module (SAM), which encourages per-pixel interactions between different phases, to make full use of cross-phase information. Moreover, we devise an uncertain region inpainting module (URIM) to refine uncertain pixels using neighboring discriminative features. Experiments on an in-house multi-phase CT dataset of focal liver lesions (MPCT-FLLs) demonstrate that our method achieves promising liver tumor segmentation and outperforms state-of-the-arts.


翻译:多阶段计算断层图象为准确的肝肿瘤分块(Lits)提供了关键的补充信息。 最新的多阶段利TS 方法通常通过分量加权加和或频道关注调解,结合跨阶段特征。但是,这些方法忽视了不同阶段之间的空间(像素-)关系,从而导致特征整合不足。此外,现有方法的性能仍然受制于分块的不确定性,在肿瘤边界区域特别尖锐。在这项工作中,我们提出一种新的利TS 方法,以充分综合多阶段信息并完善不确定的区域分块。为此,我们引入了空间集成模块(SAM),鼓励不同阶段之间的每像素互动,充分利用跨阶段信息。此外,我们设计了一个不确定的区域插入模块(URIM),以利用相邻的歧视性特征改进不确定的像素。对内部多阶段肝脏损伤(MPCT-FLs)数据集的实验表明,我们的方法实现了有希望的肝癌分块和外形。

0
下载
关闭预览

相关内容

图像修复(英语:Inpainting)指重建的图像和视频中丢失或损坏的部分的过程。例如在博物馆中,这项工作常由经验丰富的博物馆管理员或者艺术品修复师来进行。数码世界中,图像修复又称图像插值或视频插值,指利用复杂的算法来替换已丢失、损坏的图像数据,主要替换一些小区域和瑕疵。
【UAI2021教程】贝叶斯最优学习,65页ppt
专知会员服务
65+阅读 · 2021年8月7日
TorchSeg:基于pytorch的语义分割算法开源了
极市平台
20+阅读 · 2019年1月28日
已删除
将门创投
5+阅读 · 2018年11月15日
《pyramid Attention Network for Semantic Segmentation》
统计学习与视觉计算组
44+阅读 · 2018年8月30日
Arxiv
3+阅读 · 2018年3月5日
VIP会员
相关VIP内容
【UAI2021教程】贝叶斯最优学习,65页ppt
专知会员服务
65+阅读 · 2021年8月7日
Top
微信扫码咨询专知VIP会员