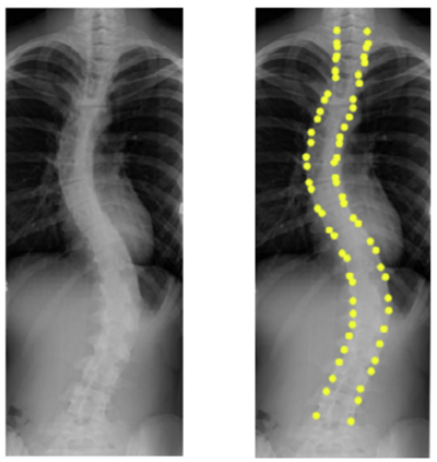
Scoliosis is a sideways curvature of the spine that most often is diagnosed among young teenagers. It dramatically affects the quality of life, which can cause complications from heart and lung injuries in severe cases. The current gold standard to detect and estimate scoliosis is to manually examine the spinal anterior-posterior X-ray images. This process is time-consuming, observer-dependent, and has high inter-rater variability. Consequently, there has been increasing interest in automatic scoliosis estimation from spinal X-ray images, and the development of deep learning has shown amazing achievements in automatic spinal curvature estimation. The main target of this thesis is to review the fundamental concepts of deep learning, analyze how deep learning is applied to detect spinal curvature, explore the practical deep learning-based models that have been employed. It aims to improve the accuracy of scoliosis detection and implement the most successful one for automated Cobb angle prediction. Keywords: Scoliosis Detection, Spinal Curvature Estimation, Deep Learning. i


翻译:骨质疏松是脊椎的侧向曲曲曲,在青少年中最经常被诊断出来,它极大地影响生活质量,可能导致心脏和肺损伤并发症,严重病例。目前用于检测和估计骨质疏松的金质标准是人工检查脊椎前部X射线图像。这一过程耗时、依赖观察者,并且具有高度的跨鼠变异性。因此,人们越来越关注脊椎X射线图像的自动骨质疏松估计,而深层学习的发展在自动脊椎曲折估计方面显示出惊人的成就。该论文的主要目的是审查深层学习的基本概念,分析如何运用深层学习来检测脊椎曲轮,探索已经使用的实用的深层学习模型。其目的是提高骨质疏松症检测的准确性,并采用最成功的自动科布角度预测方法。关键词:骨质疏松症检测、脊椎结结结、深学习。

0
下载
关闭预览

相关内容

专知会员服务
124+阅读 · 2020年9月8日
专知会员服务
54+阅读 · 2020年9月7日
《DeepGCNs: Making GCNs Go as Deep as CNNs》
专知会员服务
31+阅读 · 2019年10月17日
强化学习最新教程,17页pdf
专知会员服务
182+阅读 · 2019年10月11日
[综述]深度学习下的场景文本检测与识别
专知会员服务
78+阅读 · 2019年10月10日
VCIP 2022 Call for Demos
CCF多媒体专委会
1+阅读 · 2022年6月6日
VCIP 2022 Call for Special Session Proposals
CCF多媒体专委会
1+阅读 · 2022年4月1日
IEEE ICKG 2022: Call for Papers
机器学习与推荐算法
3+阅读 · 2022年3月30日
ACM MM 2022 Call for Papers
CCF多媒体专委会
5+阅读 · 2022年3月29日
AIART 2022 Call for Papers
CCF多媒体专委会
1+阅读 · 2022年2月13日
【ICIG2021】Latest News & Announcements of the Industry Talk2
中国图象图形学学会CSIG
0+阅读 · 2021年7月29日
Hierarchically Structured Meta-learning
CreateAMind
27+阅读 · 2019年5月22日
强化学习的Unsupervised Meta-Learning
CreateAMind
18+阅读 · 2019年1月7日
Unsupervised Learning via Meta-Learning
CreateAMind
43+阅读 · 2019年1月3日
国家自然科学基金
0+阅读 · 2015年12月31日
国家自然科学基金
1+阅读 · 2015年12月31日
国家自然科学基金
1+阅读 · 2014年12月31日
国家自然科学基金
1+阅读 · 2013年12月31日
国家自然科学基金
3+阅读 · 2013年12月31日
国家自然科学基金
0+阅读 · 2012年12月31日
国家自然科学基金
0+阅读 · 2012年12月31日
国家自然科学基金
0+阅读 · 2012年12月31日
Arxiv
0+阅读 · 2022年12月16日
Arxiv
16+阅读 · 2021年3月2日
Arxiv
37+阅读 · 2021年2月10日
Arxiv
27+阅读 · 2020年12月24日
Object Detection in 20 Years: A Survey
Arxiv
48+阅读 · 2019年5月13日
Arxiv
12+阅读 · 2018年9月5日
VIP会员
相关资讯
VCIP 2022 Call for Demos
CCF多媒体专委会
1+阅读 · 2022年6月6日
VCIP 2022 Call for Special Session Proposals
CCF多媒体专委会
1+阅读 · 2022年4月1日
IEEE ICKG 2022: Call for Papers
机器学习与推荐算法
3+阅读 · 2022年3月30日
ACM MM 2022 Call for Papers
CCF多媒体专委会
5+阅读 · 2022年3月29日
AIART 2022 Call for Papers
CCF多媒体专委会
1+阅读 · 2022年2月13日
【ICIG2021】Latest News & Announcements of the Industry Talk2
中国图象图形学学会CSIG
0+阅读 · 2021年7月29日
Hierarchically Structured Meta-learning
CreateAMind
27+阅读 · 2019年5月22日
强化学习的Unsupervised Meta-Learning
CreateAMind
18+阅读 · 2019年1月7日
Unsupervised Learning via Meta-Learning
CreateAMind
43+阅读 · 2019年1月3日
相关论文
Arxiv
0+阅读 · 2022年12月16日
Arxiv
16+阅读 · 2021年3月2日
Arxiv
37+阅读 · 2021年2月10日
Arxiv
27+阅读 · 2020年12月24日
Object Detection in 20 Years: A Survey
Arxiv
48+阅读 · 2019年5月13日
Arxiv
12+阅读 · 2018年9月5日
相关基金
国家自然科学基金
0+阅读 · 2015年12月31日
国家自然科学基金
1+阅读 · 2015年12月31日
国家自然科学基金
1+阅读 · 2014年12月31日
国家自然科学基金
1+阅读 · 2013年12月31日
国家自然科学基金
3+阅读 · 2013年12月31日
国家自然科学基金
0+阅读 · 2012年12月31日
国家自然科学基金
0+阅读 · 2012年12月31日
国家自然科学基金
0+阅读 · 2012年12月31日
Top
微信扫码咨询专知VIP会员