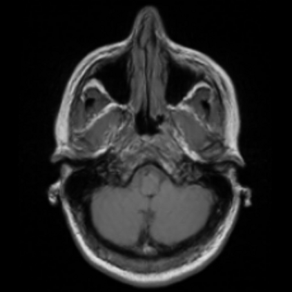
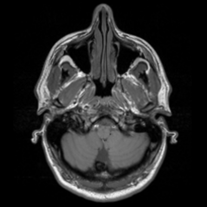
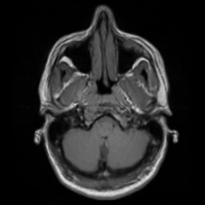
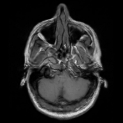
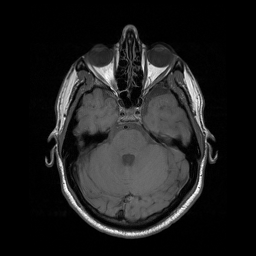
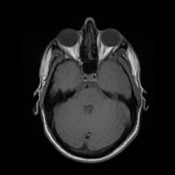
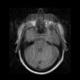
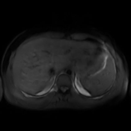
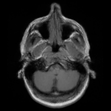
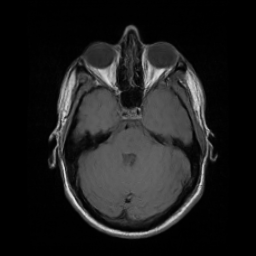
Motion artifacts are a primary source of magnetic resonance (MR) image quality deterioration with strong repercussions on diagnostic performance. Currently, MR motion correction is carried out either prospectively, with the help of motion tracking systems, or retrospectively by mainly utilizing computationally expensive iterative algorithms. In this paper, we utilize a novel adversarial framework, titled MedGAN, for the joint retrospective correction of rigid and non-rigid motion artifacts in different body regions and without the need for a reference image. MedGAN utilizes a unique combination of non-adversarial losses and a novel generator architecture to capture the textures and fine-detailed structures of the desired artifacts-free MR images. Quantitative and qualitative comparisons with other adversarial techniques have illustrated the proposed model's superior performance.


翻译:移动文物是磁共振(MR)图像质量恶化的一个主要来源,对诊断性能产生强烈影响。目前,MR运动的校正要么是预期性的,借助运动跟踪系统,要么是追溯性的,主要是利用成本昂贵的计算迭代算法。在本文中,我们使用名为MedGAN的新颖的对抗性框架,联合追溯性地校正不同身体区域的硬性和非硬性运动文物,而不需要参考图像。 MedGAN利用非对抗性损失和新型生成器结构的独特组合来捕捉无MR图象的纹理和精细详细结构。 与其他对抗性技术的定量和定性比较展示了拟议模型的优异性表现。

3
下载
关闭预览

相关内容

磁流变(Magnetorheological,简称MR)材料是一种流变性能可由磁场控制的新型智能材料。由于其响应快(ms量级)、可逆性好(撤去磁场后,又恢复初始状态)、以及通过调节磁场大小来控制材料的力学性能连续变化,因而近年来在汽车、建筑、振动控制等领域得到广泛应用。
专知会员服务
63+阅读 · 2020年3月4日
生成式对抗网络GAN异常检测
专知会员服务
118+阅读 · 2019年10月13日
[综述]深度学习下的场景文本检测与识别
专知会员服务
78+阅读 · 2019年10月10日
MIT新书《强化学习与最优控制》
专知会员服务
282+阅读 · 2019年10月9日
模式国重实验室21篇论文入选CVPR 2020
专知
30+阅读 · 2020年3月8日
CVPR 2019 | 重磅!34篇 CVPR2019 论文实现代码
AI研习社
11+阅读 · 2019年6月21日
生成对抗网络GANs学习路线
专知
36+阅读 · 2019年6月10日
disentangled-representation-papers
CreateAMind
26+阅读 · 2018年9月12日
vae 相关论文 表示学习 1
CreateAMind
12+阅读 · 2018年9月6日
深度学习人脸识别系统DFace
深度学习
17+阅读 · 2018年2月14日
Capsule Networks解析
机器学习研究会
11+阅读 · 2017年11月12日
Adversarial Variational Bayes: Unifying VAE and GAN 代码
CreateAMind
7+阅读 · 2017年10月4日
Auto-Encoding GAN
CreateAMind
7+阅读 · 2017年8月4日
Single-frame Regularization for Temporally Stable CNNs
Arxiv
4+阅读 · 2018年6月1日
VIP会员
相关资讯
模式国重实验室21篇论文入选CVPR 2020
专知
30+阅读 · 2020年3月8日
CVPR 2019 | 重磅!34篇 CVPR2019 论文实现代码
AI研习社
11+阅读 · 2019年6月21日
生成对抗网络GANs学习路线
专知
36+阅读 · 2019年6月10日
disentangled-representation-papers
CreateAMind
26+阅读 · 2018年9月12日
vae 相关论文 表示学习 1
CreateAMind
12+阅读 · 2018年9月6日
深度学习人脸识别系统DFace
深度学习
17+阅读 · 2018年2月14日
Capsule Networks解析
机器学习研究会
11+阅读 · 2017年11月12日
Adversarial Variational Bayes: Unifying VAE and GAN 代码
CreateAMind
7+阅读 · 2017年10月4日
Auto-Encoding GAN
CreateAMind
7+阅读 · 2017年8月4日
Top
微信扫码咨询专知VIP会员