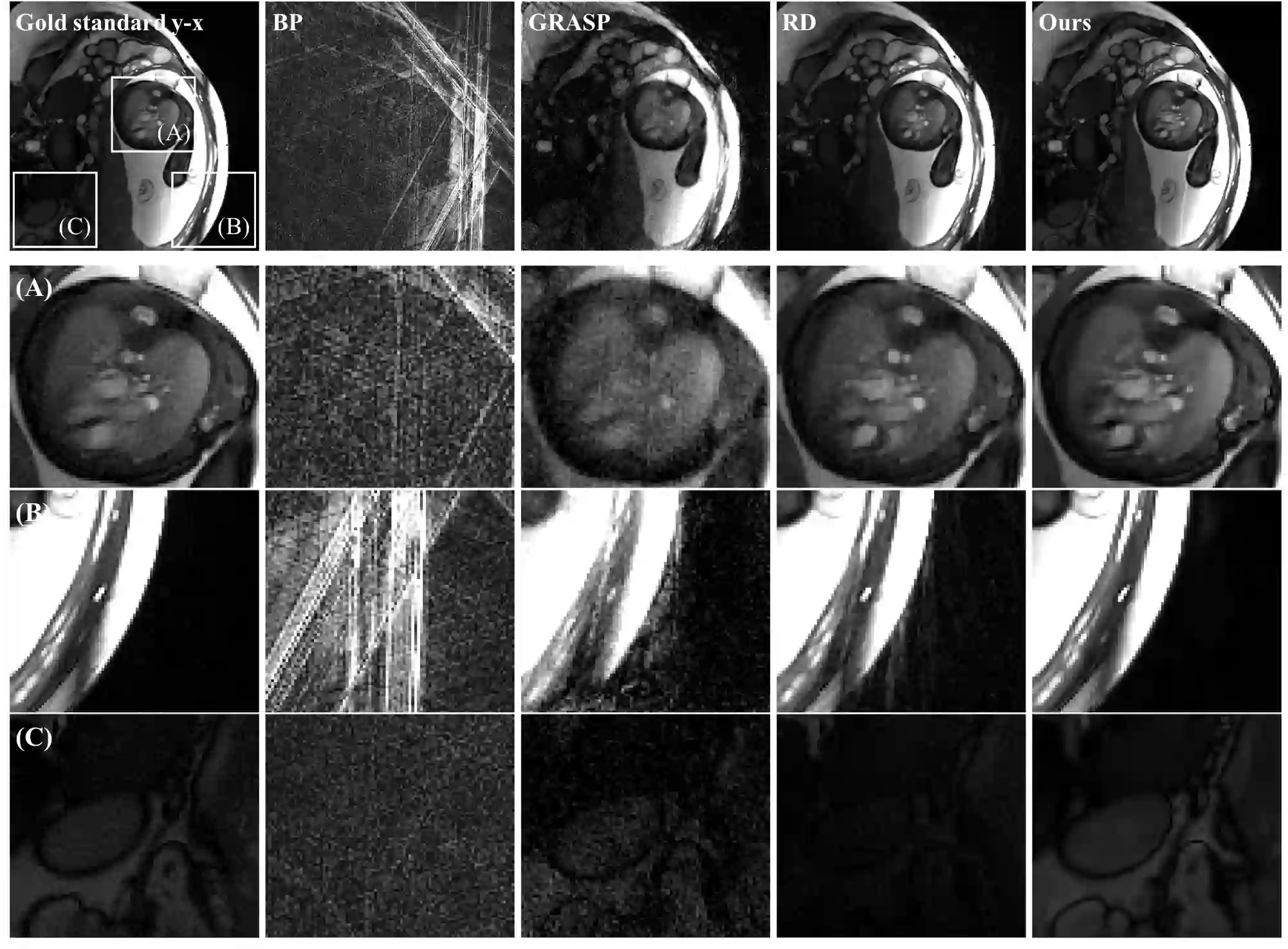
We propose a novel unsupervised deep-learning-based algorithm for dynamic magnetic resonance imaging (MRI) reconstruction. Dynamic MRI requires rapid data acquisition for the study of moving organs such as the heart. Existing reconstruction methods suffer from restrictions either in the model design or in the absence of ground-truth data, resulting in low image quality. We introduce a generalized version of the deep-image-prior approach, which optimizes the network weights to fit a sequence of sparsely acquired dynamic MRI measurements. Our method needs neither prior training nor additional data. In particular, for cardiac images, it does not require the marking of heartbeats or the reordering of spokes. The key ingredients of our method are threefold: 1) a fixed low-dimensional manifold that encodes the temporal variations of images; 2) a network that maps the manifold into a more expressive latent space; and 3) a convolutional neural network that generates a dynamic series of MRI images from the latent variables and that favors their consistency with the measurements in k-space. Our method outperforms the state-of-the-art methods quantitatively and qualitatively in both retrospective and real fetal cardiac datasets. To the best of our knowledge, this is the first unsupervised deep-learning-based method that can reconstruct the continuous variation of dynamic MRI sequences with high spatial resolution.


翻译:我们建议为动态磁共振成像(MRI)重建开发一种新型的未经监督的深层学习算法。动态磁共振成像(MRI)要求为研究心脏等移动器官而快速获取数据。现有的重建方法在模型设计或地面真象数据缺失的情况下受到限制,导致图像质量低。我们引入了深图像前导法的通用版本,优化网络重量以适应一连串稀有获得的动态磁共振成像测量。我们的方法不需要事先培训或额外数据。特别是心脏图像,不需要心跳图的标记或对话筒重新排序。我们方法的关键成份有三重:1)固定的低维元,能将图像的时间变化编码起来;2)将元图绘制成一个更清晰的潜藏空间的网络;3)进动神经网络,根据潜伏变量生成一系列磁共振成动态的磁共振成图像,并且有利于与K空间测量的一致性。我们的方法超越了对心电图的标记或重新排序。我们的方法的关键成了状态的状态方法。我们的方法有三重:1,一个固定的低维的维维维的元元的元元元模型和直压数据是不断的不断的不断的不断的再演进进式数据。

0
下载
关闭预览

相关内容

Networking:IFIP International Conferences on Networking。 Explanation:国际网络会议。 Publisher:IFIP。 SIT: http://dblp.uni-trier.de/db/conf/networking/index.html
【干货书】机器学习速查手册,135页pdf
专知会员服务
127+阅读 · 2020年11月20日
专知会员服务
45+阅读 · 2020年10月31日
因果图,Causal Graphs,52页ppt
专知会员服务
253+阅读 · 2020年4月19日
Stabilizing Transformers for Reinforcement Learning
专知会员服务
60+阅读 · 2019年10月17日
《DeepGCNs: Making GCNs Go as Deep as CNNs》
专知会员服务
31+阅读 · 2019年10月17日
Hierarchically Structured Meta-learning
CreateAMind
27+阅读 · 2019年5月22日
使用《Deep Image Prior》来做图像复原
AI研习社
7+阅读 · 2019年3月2日
逆强化学习-学习人先验的动机
CreateAMind
16+阅读 · 2019年1月18日
Unsupervised Learning via Meta-Learning
CreateAMind
43+阅读 · 2019年1月3日
Dynamic Zoom-in Network 论文笔记
统计学习与视觉计算组
6+阅读 · 2018年7月18日
Hierarchical Imitation - Reinforcement Learning
CreateAMind
19+阅读 · 2018年5月25日
Linguistically Regularized LSTMs for Sentiment Classification
黑龙江大学自然语言处理实验室
8+阅读 · 2018年5月4日
已删除
将门创投
7+阅读 · 2018年4月18日
Capsule Networks解析
机器学习研究会
11+阅读 · 2017年11月12日
Auto-Encoding GAN
CreateAMind
7+阅读 · 2017年8月4日
Arxiv
0+阅读 · 2021年3月18日
Deep learning for cardiac image segmentation: A review
Arxiv
21+阅读 · 2019年11月9日
Learning to Importance Sample in Primary Sample Space
W-net: Bridged U-net for 2D Medical Image Segmentation
Arxiv
20+阅读 · 2018年7月12日
Arxiv
5+阅读 · 2018年1月17日
VIP会员
相关VIP内容
【干货书】机器学习速查手册,135页pdf
专知会员服务
127+阅读 · 2020年11月20日
专知会员服务
45+阅读 · 2020年10月31日
因果图,Causal Graphs,52页ppt
专知会员服务
253+阅读 · 2020年4月19日
Stabilizing Transformers for Reinforcement Learning
专知会员服务
60+阅读 · 2019年10月17日
《DeepGCNs: Making GCNs Go as Deep as CNNs》
专知会员服务
31+阅读 · 2019年10月17日
相关资讯
Hierarchically Structured Meta-learning
CreateAMind
27+阅读 · 2019年5月22日
使用《Deep Image Prior》来做图像复原
AI研习社
7+阅读 · 2019年3月2日
逆强化学习-学习人先验的动机
CreateAMind
16+阅读 · 2019年1月18日
Unsupervised Learning via Meta-Learning
CreateAMind
43+阅读 · 2019年1月3日
Dynamic Zoom-in Network 论文笔记
统计学习与视觉计算组
6+阅读 · 2018年7月18日
Hierarchical Imitation - Reinforcement Learning
CreateAMind
19+阅读 · 2018年5月25日
Linguistically Regularized LSTMs for Sentiment Classification
黑龙江大学自然语言处理实验室
8+阅读 · 2018年5月4日
已删除
将门创投
7+阅读 · 2018年4月18日
Capsule Networks解析
机器学习研究会
11+阅读 · 2017年11月12日
Auto-Encoding GAN
CreateAMind
7+阅读 · 2017年8月4日
Top
微信扫码咨询专知VIP会员